首页
学习
活动
专区
圈层
工具
发布
首页
学习
活动
专区
圈层
工具
MCP广场
社区首页 >专栏 >单细胞空间--食管鳞状细胞癌的单细胞多组学与空间分析揭示GPR116+周细胞在癌症转移中的免疫抑制功能

单细胞空间--食管鳞状细胞癌的单细胞多组学与空间分析揭示GPR116+周细胞在癌症转移中的免疫抑制功能

原创
作者头像
追风少年i
发布2025-10-13 11:21:58
发布2025-10-13 11:21:58
1740
举报

作者,Evil Genius

今天我们分享文献

知识积累

肿瘤转移是导致大多数癌症相关死亡的原因。转移是一个多步骤的生物学过程,其实现依赖于肿瘤微环境(TME)各组分间的动态协同作用。

scRNA-seq + snRNA-seq + ATAC-seq + Stereo-seq。

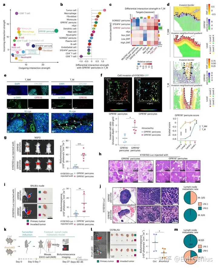
结果1、ESCC促转移肿瘤微环境中的细胞相互作用动态

与正常组织相比,成纤维细胞、周细胞、内皮细胞和中性粒细胞在肿瘤组织中的比例发生显著改变,提示它们在肿瘤生长中起关键作用。

细胞相互作用分析表明,基质细胞主要作为信号发送方,其中周细胞在转移性癌症患者中表现出最强的外向相互作用信号增强。

利用Stereo-seq技术对5例ESCC患者、的促转移TME空间组织结构动态进行了研究。空间细胞类型注释参考了scRNA-seq数据。

在空间邻近性方面,结果显示T细胞与肿瘤细胞的距离与转移状态无关,而在转移性癌症患者中,B细胞离肿瘤细胞稍远。在转移性癌症患者中,基质细胞和髓系细胞更靠近肿瘤细胞,其中周细胞的空间邻近性增加最为显著。

在转移性癌症患者中,周细胞表现出主导的外向相互作用,并且与肿瘤细胞的空间邻近性和相互作用相较于其他细胞类型显著增强,这表明周细胞是研究ESCC转移机制的关键候选细胞。

GPR116+周细胞在ESCC转移中的临床意义

周细胞进行了亚群分析。

结果2、PRRX1驱动GPR116+周细胞的分化

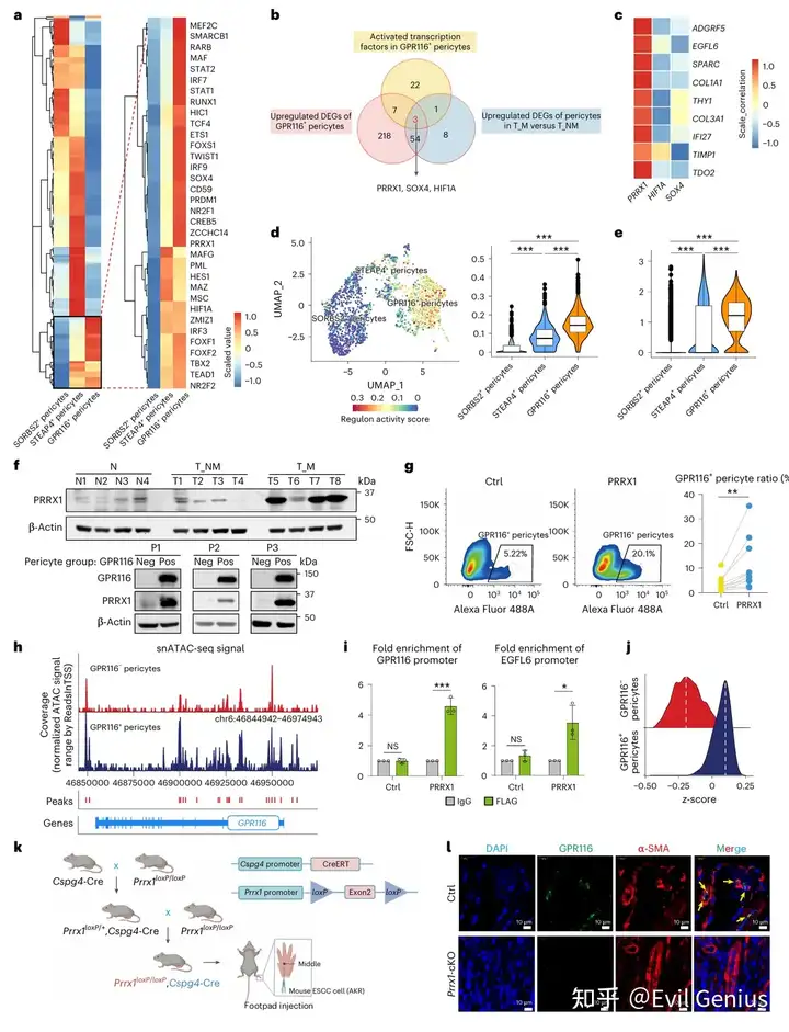
为阐明GPR116+周细胞的分化机制,通过单细胞调控网络推断与聚类(SCENIC)分析筛选符合以下三项标准的潜在调控因子:(1)在SCENIC鉴定的GPR116+周细胞中激活(33个基因);(2)在GPR116+与GPR116−周细胞中表达更高(282个基因);(3)在转移性癌症患者的周细胞中上调(66个基因)。值得注意的是,PRRX1、SOX4和HIF1A同时满足所有标准。在这些候选因子中,PRRX1与GPR116+周细胞的核心标志物表现出最强相关性。TCGA队列数据也验证了PRRX1与GPR116+周细胞间存在最显著的正相关性,因此PRRX1成为我们的研究焦点。单细胞RNA测序结果显示,GPR116+周细胞中PRRX1的活性和表达均显著升高。对临床组织及分离周细胞的免疫印迹分析进一步揭示,转移性癌症患者及GPR116+周细胞中PRRX1表达显著上调。

免疫印迹和RT–qPCR结果证实,在人周细胞系及原代ESCC周细胞中过表达PRRX1可上调GPR116及GPR116+周细胞系列代表基因的表达。在分选的GPR116−周细胞中过表达PRRX1会导致代表基因上调,而在GPR116+周细胞中敲低PRRX1则呈现相反效果。流式细胞术进一步确认PRRX1过表达能显著提高GPR116+周细胞比例。

为验证PRRX1对GPR116+周细胞的转录调控作用,在配对snRNA-seq与snATAC-seq数据中对周细胞进行GPR116+和GPR116−亚群划分。通过snATAC-seq数据峰值调用发现,GPR116+周细胞标志物(GPR116、EGFL6和THY1)在该亚群中染色质可及性升高,而GPR116−周细胞标志物MUSTN1则在对应亚群中呈现更高可及性。这些结果与scRNA-seq分析一致,证实snATAC-seq聚类可靠性。此外,scRNA-seq与TCGA队列均观察到PRRX1与GPR116、EGFL6的正相关性。染色质免疫共沉淀(ChIP)与荧光素酶报告基因实验进一步确认PRRX1可与GPR116和EGFL6的启动子区域结合。与其转录激活功能相符,PRRX1在GPR116+周细胞中表现出更强的转录因子 motif 结合活性富集。在他莫昔芬诱导的Cspg4驱动周细胞特异性Prrx1敲除(KO)小鼠模型中,肿瘤移植模型显示GPR116+周细胞缺失。这些数据共同表明:PRRX1作为GPR116+周细胞特异性转录因子,对其分化过程具有决定性作用。

结果3、GPR116+周细胞促进食管鳞癌转移

相互作用与空间邻近:

  • 细胞通讯分析:GPR116+周细胞是肿瘤微环境中最活跃的"信号发送者",尤其与高EMT潜能的肿瘤细胞相互作用最强。
  • 空间分析:GPR116+周细胞富集在肿瘤侵袭前沿,并与高EMT潜能的肿瘤细胞在空间上紧密相邻。

功能验证:

  • 体外实验:GPR116+周细胞能比GPR116-周细胞更有效地促进肿瘤细胞的侵袭能力和EMT进程。

体内模型:

  • 肺转移模型:GPR116+周细胞显著增强了肿瘤细胞的远处肺转移能力。
  • 淋巴转移模型:GPR116+周细胞能导致100%的淋巴结转移率,而GPR116-周细胞仅50%。

上游机制验证:

在周细胞特异性敲除PRRX1的小鼠模型中,淋巴结转移被几乎完全抑制。这强有力的遗传学证据表明,PRRX1驱动的GPR116+周细胞分化是食管鳞癌转移的关键环节。

核心结论:PRRX1驱动产生的GPR116+周细胞,通过与高EMT潜能的肿瘤细胞密切互作并空间毗邻,在体外和体内均能强力促进食管鳞癌的侵袭和转移(包括血行肺转移和淋巴转移)。

结果4、源自GPR116+周细胞的EGFL6有助于食管鳞癌的诊断与预后

通过比较基因表达谱,发现EGFL6是GPR116+周细胞中相较于GPR116-周细胞上调最显著的基因。

转录因子PRRX1驱动生成的GPR116+周细胞是促进食管鳞癌(ESCC)转移的关键因素。这部分细胞通过特异性高分泌蛋白EGFL6,作用于肿瘤细胞并增强其侵袭性与上皮-间质转化(EMT)进程,从而驱动转移。重要的是,分泌至血液中的EGFL6在转移患者中显著升高,不仅能高效区分癌症患者与健康人群(AUC = 0.983),还能精准预测转移发生(AUC = 0.912),且其高水平预示着更短的生存期。因此,血清EGFL6被鉴定为一个由GPR116+周细胞来源的、极具临床应用潜力的无创诊断与预后生物标志物。

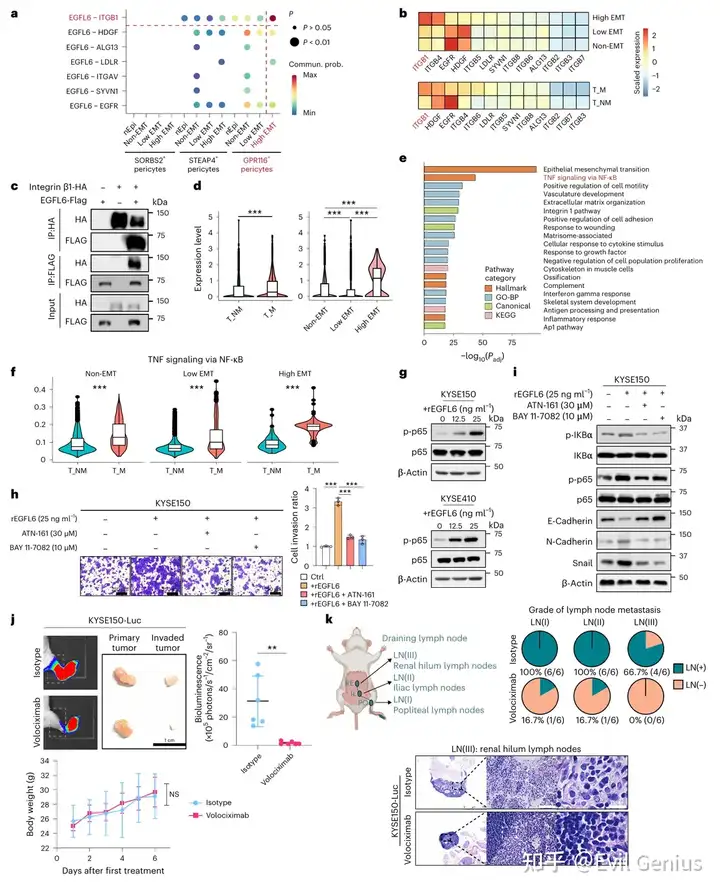
结果5、GPR116+周细胞通过EGFL6–整合素β1–NF-κB轴诱导转移

研究表明,GPR116+周细胞与高EMT肿瘤细胞之间主要通过EGFL6–整合素β1的配体-受体相互作用进行信号交流。整合素β1在高EMT肿瘤细胞中特异性高表达,且与转移密切相关。机制上,EGFL6与整合素β1结合后,能剂量依赖性地激活NF-κB信号通路(表现为p-p65水平升高),进而促进肿瘤细胞侵袭和EMT进程。使用整合素β1抑制剂(ATN-161)或NF-κB抑制剂(BAY 11-7082)均可显著阻断EGFL6的促转移作用。

基于此机制,研究人员进一步评估了靶向整合素β1的治疗潜力。使用临床级整合素β1单克隆抗体Volociximab进行治疗,能显著抑制食管鳞癌模型的淋巴结转移:对照组小鼠腘窝和髂淋巴结转移率达100%,而治疗组近端淋巴结转移率降至16.7%,且未观察到远处肾门淋巴结转移。

综上,该研究阐明了GPR116+周细胞通过EGFL6–整合素β1–NF-κB轴驱动肿瘤转移的分子机制,并验证了靶向该通路是一种有效的抗转移治疗策略。

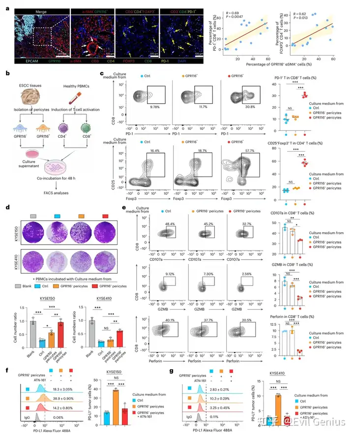
GPR116+周细胞具有免疫抑制特性

研究表明,GPR116+周细胞在肿瘤微环境中发挥关键免疫抑制作用。单细胞RNA测序分析显示,GPR116+周细胞与耗竭性CD8+ T细胞及调节性T细胞(Treg)呈显著正相关。多重免疫荧光染色证实,PD-1+CD8+ T细胞和Treg细胞在GPR116+周细胞周围富集,且在转移性ESCC患者中更为明显。

体外实验进一步验证:与GPR116-周细胞共培养会导致PD-1+CD8+ T细胞和FOXP3+CD4+ T细胞比例增加;GPR116+周细胞条件培养基能显著降低外周血单核细胞的肿瘤杀伤活性和CD8+ T细胞的细胞毒性效应因子分泌。

重要的是,GPR116+周细胞通过整合素β1依赖的机制显著上调肿瘤细胞PD-L1表达,而使用整合素β1抑制剂可逆转此效应。

综上,GPR116+周细胞通过三重机制促进免疫抑制:

  • 促进Treg细胞扩增
  • 诱导CD8+ T细胞耗竭并降低其细胞毒性
  • 通过整合素β1信号上调肿瘤细胞PD-L1表达,从而帮助肿瘤逃避免疫监视。

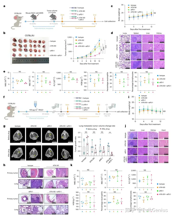
结果7、整合素β1抑制剂增强αPD-1疗法的抗肿瘤效果

基于GPR116+周细胞的免疫抑制功能,研究进一步探讨了整合素β1抑制剂与免疫检查点阻断(ICB)的联合疗法。在皮下移植瘤模型中,相比单药治疗(ATN-161或αPD-1),联合治疗显著延缓了肿瘤生长,且所有治疗方案均未出现安全性问题。

为模拟晚期转移性食管鳞癌,研究人员通过4-硝基喹啉-1-氧化物(4NQO)诱导构建了自发性肿瘤模型。当微CT检测到肺转移时开始治疗,结果显示:ATN-161与αPD-1联用不仅能有效抑制原发肿瘤进展,还可显著减少远处转移,且未观察到不良反应。

这些临床前研究表明,靶向整合素β1的抑制剂ATN-161与PD-1抑制剂联用,具有协同抗肿瘤作用,为晚期食管鳞癌的治疗提供了新的潜在联合治疗方案。

最后来看看方法

Stereo-seq

生活很好,有你更好

原创声明:本文系作者授权腾讯云开发者社区发表,未经许可,不得转载。

如有侵权,请联系 cloudcommunity@tencent.com 删除。

原创声明:本文系作者授权腾讯云开发者社区发表,未经许可,不得转载。

如有侵权,请联系 cloudcommunity@tencent.com 删除。

评论
登录后参与评论
0 条评论
热度
最新
推荐阅读
目录
  • 作者,Evil Genius
  • 今天我们分享文献
  • 知识积累
  • 肿瘤转移是导致大多数癌症相关死亡的原因。转移是一个多步骤的生物学过程,其实现依赖于肿瘤微环境(TME)各组分间的动态协同作用。
  • scRNA-seq + snRNA-seq + ATAC-seq + Stereo-seq。
  • 结果1、ESCC促转移肿瘤微环境中的细胞相互作用动态
  • 与正常组织相比,成纤维细胞、周细胞、内皮细胞和中性粒细胞在肿瘤组织中的比例发生显著改变,提示它们在肿瘤生长中起关键作用。
  • 细胞相互作用分析表明,基质细胞主要作为信号发送方,其中周细胞在转移性癌症患者中表现出最强的外向相互作用信号增强。
  • 利用Stereo-seq技术对5例ESCC患者、的促转移TME空间组织结构动态进行了研究。空间细胞类型注释参考了scRNA-seq数据。
  • 在空间邻近性方面,结果显示T细胞与肿瘤细胞的距离与转移状态无关,而在转移性癌症患者中,B细胞离肿瘤细胞稍远。在转移性癌症患者中,基质细胞和髓系细胞更靠近肿瘤细胞,其中周细胞的空间邻近性增加最为显著。
  • 在转移性癌症患者中,周细胞表现出主导的外向相互作用,并且与肿瘤细胞的空间邻近性和相互作用相较于其他细胞类型显著增强,这表明周细胞是研究ESCC转移机制的关键候选细胞。
  • GPR116+周细胞在ESCC转移中的临床意义
  • 周细胞进行了亚群分析。
  • 结果2、PRRX1驱动GPR116+周细胞的分化
  • 为阐明GPR116+周细胞的分化机制,通过单细胞调控网络推断与聚类(SCENIC)分析筛选符合以下三项标准的潜在调控因子:(1)在SCENIC鉴定的GPR116+周细胞中激活(33个基因);(2)在GPR116+与GPR116−周细胞中表达更高(282个基因);(3)在转移性癌症患者的周细胞中上调(66个基因)。值得注意的是,PRRX1、SOX4和HIF1A同时满足所有标准。在这些候选因子中,PRRX1与GPR116+周细胞的核心标志物表现出最强相关性。TCGA队列数据也验证了PRRX1与GPR116+周细胞间存在最显著的正相关性,因此PRRX1成为我们的研究焦点。单细胞RNA测序结果显示,GPR116+周细胞中PRRX1的活性和表达均显著升高。对临床组织及分离周细胞的免疫印迹分析进一步揭示,转移性癌症患者及GPR116+周细胞中PRRX1表达显著上调。
  • 免疫印迹和RT–qPCR结果证实,在人周细胞系及原代ESCC周细胞中过表达PRRX1可上调GPR116及GPR116+周细胞系列代表基因的表达。在分选的GPR116−周细胞中过表达PRRX1会导致代表基因上调,而在GPR116+周细胞中敲低PRRX1则呈现相反效果。流式细胞术进一步确认PRRX1过表达能显著提高GPR116+周细胞比例。
  • 为验证PRRX1对GPR116+周细胞的转录调控作用,在配对snRNA-seq与snATAC-seq数据中对周细胞进行GPR116+和GPR116−亚群划分。通过snATAC-seq数据峰值调用发现,GPR116+周细胞标志物(GPR116、EGFL6和THY1)在该亚群中染色质可及性升高,而GPR116−周细胞标志物MUSTN1则在对应亚群中呈现更高可及性。这些结果与scRNA-seq分析一致,证实snATAC-seq聚类可靠性。此外,scRNA-seq与TCGA队列均观察到PRRX1与GPR116、EGFL6的正相关性。染色质免疫共沉淀(ChIP)与荧光素酶报告基因实验进一步确认PRRX1可与GPR116和EGFL6的启动子区域结合。与其转录激活功能相符,PRRX1在GPR116+周细胞中表现出更强的转录因子 motif 结合活性富集。在他莫昔芬诱导的Cspg4驱动周细胞特异性Prrx1敲除(KO)小鼠模型中,肿瘤移植模型显示GPR116+周细胞缺失。这些数据共同表明:PRRX1作为GPR116+周细胞特异性转录因子,对其分化过程具有决定性作用。
  • 结果3、GPR116+周细胞促进食管鳞癌转移
  • 相互作用与空间邻近:
  • 功能验证:
  • 体内模型:
  • 上游机制验证:
  • 在周细胞特异性敲除PRRX1的小鼠模型中,淋巴结转移被几乎完全抑制。这强有力的遗传学证据表明,PRRX1驱动的GPR116+周细胞分化是食管鳞癌转移的关键环节。
  • 核心结论:PRRX1驱动产生的GPR116+周细胞,通过与高EMT潜能的肿瘤细胞密切互作并空间毗邻,在体外和体内均能强力促进食管鳞癌的侵袭和转移(包括血行肺转移和淋巴转移)。
  • 结果4、源自GPR116+周细胞的EGFL6有助于食管鳞癌的诊断与预后
  • 通过比较基因表达谱,发现EGFL6是GPR116+周细胞中相较于GPR116-周细胞上调最显著的基因。
  • 转录因子PRRX1驱动生成的GPR116+周细胞是促进食管鳞癌(ESCC)转移的关键因素。这部分细胞通过特异性高分泌蛋白EGFL6,作用于肿瘤细胞并增强其侵袭性与上皮-间质转化(EMT)进程,从而驱动转移。重要的是,分泌至血液中的EGFL6在转移患者中显著升高,不仅能高效区分癌症患者与健康人群(AUC = 0.983),还能精准预测转移发生(AUC = 0.912),且其高水平预示着更短的生存期。因此,血清EGFL6被鉴定为一个由GPR116+周细胞来源的、极具临床应用潜力的无创诊断与预后生物标志物。
  • 结果5、GPR116+周细胞通过EGFL6–整合素β1–NF-κB轴诱导转移
  • 研究表明,GPR116+周细胞与高EMT肿瘤细胞之间主要通过EGFL6–整合素β1的配体-受体相互作用进行信号交流。整合素β1在高EMT肿瘤细胞中特异性高表达,且与转移密切相关。机制上,EGFL6与整合素β1结合后,能剂量依赖性地激活NF-κB信号通路(表现为p-p65水平升高),进而促进肿瘤细胞侵袭和EMT进程。使用整合素β1抑制剂(ATN-161)或NF-κB抑制剂(BAY 11-7082)均可显著阻断EGFL6的促转移作用。
  • 基于此机制,研究人员进一步评估了靶向整合素β1的治疗潜力。使用临床级整合素β1单克隆抗体Volociximab进行治疗,能显著抑制食管鳞癌模型的淋巴结转移:对照组小鼠腘窝和髂淋巴结转移率达100%,而治疗组近端淋巴结转移率降至16.7%,且未观察到远处肾门淋巴结转移。
  • 综上,该研究阐明了GPR116+周细胞通过EGFL6–整合素β1–NF-κB轴驱动肿瘤转移的分子机制,并验证了靶向该通路是一种有效的抗转移治疗策略。
  • GPR116+周细胞具有免疫抑制特性
  • 研究表明,GPR116+周细胞在肿瘤微环境中发挥关键免疫抑制作用。单细胞RNA测序分析显示,GPR116+周细胞与耗竭性CD8+ T细胞及调节性T细胞(Treg)呈显著正相关。多重免疫荧光染色证实,PD-1+CD8+ T细胞和Treg细胞在GPR116+周细胞周围富集,且在转移性ESCC患者中更为明显。
  • 体外实验进一步验证:与GPR116-周细胞共培养会导致PD-1+CD8+ T细胞和FOXP3+CD4+ T细胞比例增加;GPR116+周细胞条件培养基能显著降低外周血单核细胞的肿瘤杀伤活性和CD8+ T细胞的细胞毒性效应因子分泌。
  • 重要的是,GPR116+周细胞通过整合素β1依赖的机制显著上调肿瘤细胞PD-L1表达,而使用整合素β1抑制剂可逆转此效应。
  • 综上,GPR116+周细胞通过三重机制促进免疫抑制:
  • 结果7、整合素β1抑制剂增强αPD-1疗法的抗肿瘤效果
  • 基于GPR116+周细胞的免疫抑制功能,研究进一步探讨了整合素β1抑制剂与免疫检查点阻断(ICB)的联合疗法。在皮下移植瘤模型中,相比单药治疗(ATN-161或αPD-1),联合治疗显著延缓了肿瘤生长,且所有治疗方案均未出现安全性问题。
  • 为模拟晚期转移性食管鳞癌,研究人员通过4-硝基喹啉-1-氧化物(4NQO)诱导构建了自发性肿瘤模型。当微CT检测到肺转移时开始治疗,结果显示:ATN-161与αPD-1联用不仅能有效抑制原发肿瘤进展,还可显著减少远处转移,且未观察到不良反应。
  • 这些临床前研究表明,靶向整合素β1的抑制剂ATN-161与PD-1抑制剂联用,具有协同抗肿瘤作用,为晚期食管鳞癌的治疗提供了新的潜在联合治疗方案。
  • 最后来看看方法
  • Stereo-seq
  • 生活很好,有你更好
领券
问题归档专栏文章快讯文章归档关键词归档开发者手册归档开发者手册 Section 归档