

免疫细胞:CD4+/CD8+ T细胞最丰富,常表达PD1;Treg细胞增殖最活跃;巨噬细胞/单核细胞高表达PDL1和TIM3。 癌细胞:存在功能异质性(如增殖标记Ki67、代谢标记GLUT1表达差异)。 成纤维细胞:观察到与免疫抑制相关的CAF-S1表型。

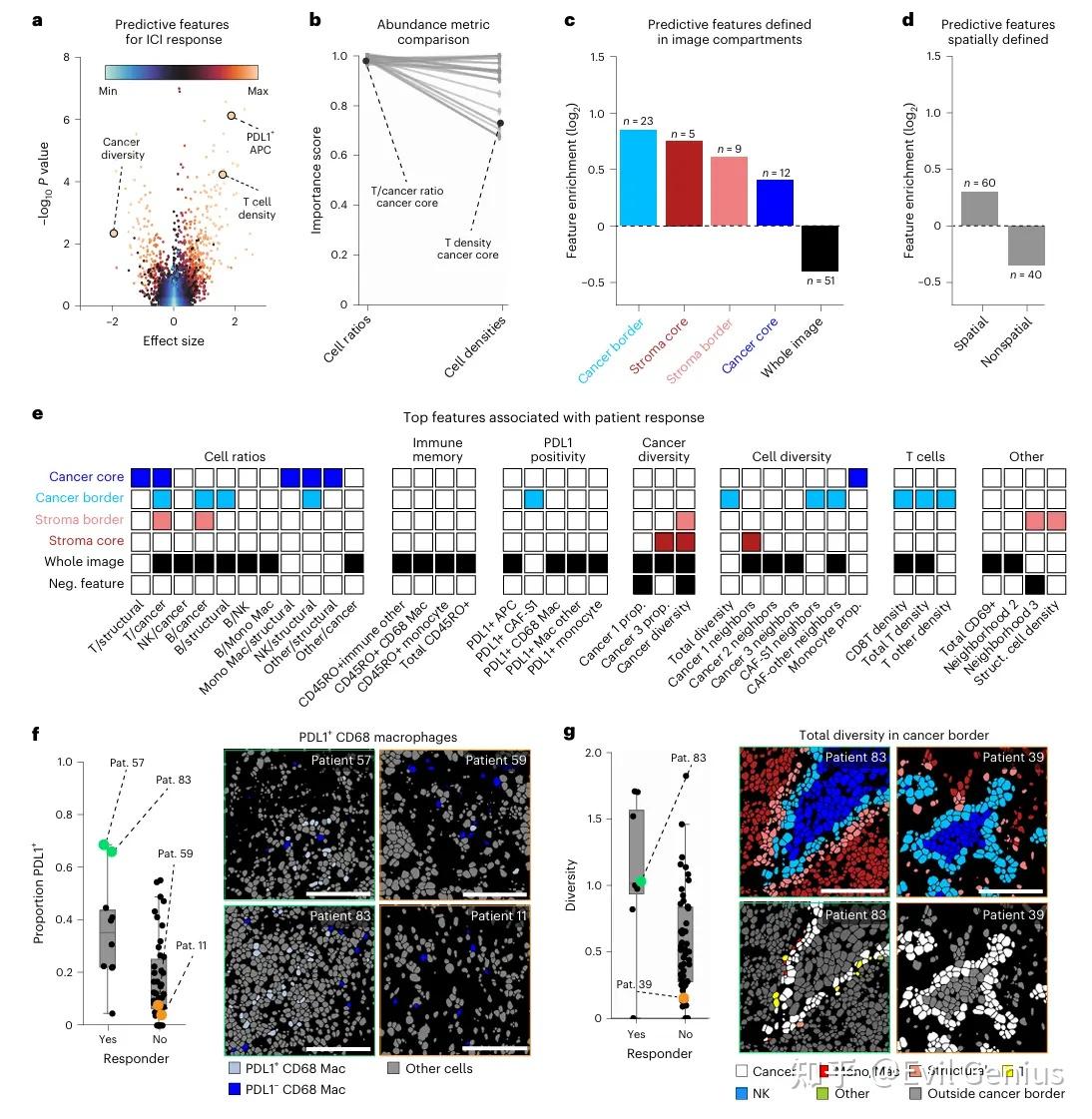
免疫相关通路:干扰素信号通路(如MDA5-IRF7-IRF3、RIGI-IRF7-IRF3)与HLA1⁺癌细胞高度相关。 空间与功能:癌核心中CD8⁺T细胞周围的细胞多样性与T细胞耗竭特征呈负相关;TGFβ信号与癌边界的特定T细胞亚群相关。 区域特异性:空间特征与转录组的强相关性主要富集在癌核心和癌边界,而基质区域的相关性较弱。





原创声明:本文系作者授权腾讯云开发者社区发表,未经许可,不得转载。
如有侵权,请联系 cloudcommunity@tencent.com 删除。
原创声明:本文系作者授权腾讯云开发者社区发表,未经许可,不得转载。
如有侵权,请联系 cloudcommunity@tencent.com 删除。