







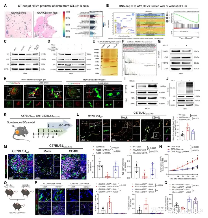
IGLL5+ B细胞 ↓ (通过CCL19-CCRL2趋化作用靶向归巢至HEV) ↓ (通过IGLL5与LTβR高亲和力结合) IGLL5-LTβR结合引发LTβR构象“反向扭转”(180°夹角) ↓ 膜上信号复合物解体 → TRAF3从LTβR解离入胞质 ↓ NIK蛋白被异常降解,非经典NF-κB信号轴关闭(NIK↓/p100磷酸化↓/p52↓) ↓ HEV功能基因(黏附分子、趋化因子等)表达下调 ↓ HEV结构破坏(管腔扩张、形态异常)→ 淋巴细胞招募能力丧失 ↓ 三级淋巴结构无法形成/瓦解 → 抗肿瘤免疫应答受损 → 免疫治疗(ICB)无应答 ↓ (通过CCL19-CCRL2趋化作用靶向归巢至HEV) ↓ (通过IGLL5与LTβR高亲和力结合) IGLL5-LTβR结合引发LTβR构象“反向扭转”(180°夹角) ↓ 膜上信号复合物解体 → TRAF3从LTβR解离入胞质 ↓ NIK蛋白被异常降解,非经典NF-κB信号轴关闭(NIK↓/p100磷酸化↓/p52↓) ↓ HEV功能基因(黏附分子、趋化因子等)表达下调 ↓ HEV结构破坏(管腔扩张、形态异常)→ 淋巴细胞招募能力丧失 ↓ 三级淋巴结构无法形成/瓦解 → 抗肿瘤免疫应答受损 → 免疫治疗(ICB)无应答









原创声明:本文系作者授权腾讯云开发者社区发表,未经许可,不得转载。
如有侵权,请联系 cloudcommunity@tencent.com 删除。
原创声明:本文系作者授权腾讯云开发者社区发表,未经许可,不得转载。
如有侵权,请联系 cloudcommunity@tencent.com 删除。