首页
学习
活动
专区
圈层
工具
发布
社区首页 >专栏 >文献分享--肿瘤浸润细菌破坏癌细胞上皮相互作用并诱导细胞周期阻滞

文献分享--肿瘤浸润细菌破坏癌细胞上皮相互作用并诱导细胞周期阻滞

原创
作者头像
追风少年i
发布2025-10-20 11:18:04
发布2025-10-20 11:18:04
1280
举报

作者,Evil Genius

对于每个组学的数据分析,代码语言是必须要掌握的,我们的主要内容是单细胞空间外显子,当然了,还有分子对接、分子动力学,每一个内容都离不开代码语言,作为一个合格的生信、分析人员,linux操作,R,python基础是必备的,之前的培训课程

2025年单细胞空间系列课程

2024年外显子分析系列课程

生化小课---基因组与单细胞空间多组学

2024年单细胞空间系列课程

甚至远古时期23年的培训空间转录组课表

都是建立在大家对linux、R、python熟练掌握的基础上。

之前的培训直接就上单细胞空间外显子,但是培训多了发现了很多学员对于基础语言认知的不足,所以在25开个番外,2025番外--linux、R、python培训,主要针对我们单细胞空间外显子的基础部分,这都是我接触了很多学员之后,针对痛点总结的培训内容,代码语言相当于我们盖楼的第一层,这一层一定要盖好,后续看单细胞空间的培训内容,或者其他的多组学,甚至后面针对自己课题的个性化代码书写,就会容易很多了。

当然了,当初上学的时候我的老师让我们好好学习,我也没听进去。

今天我们分享文献,也是多组学(宏基因组学)

知识积累

肿瘤浸润细菌已在多种人类癌症(尤其黏膜部位)中被发现,并日益被视为肿瘤微环境(TME)的关键组成部分。大规模流行病学研究将特定肿瘤浸润细菌与癌症复发和治疗耐受性相关联。

肿瘤内细胞外细菌通过超越增殖调控的机制重塑肿瘤微环境。

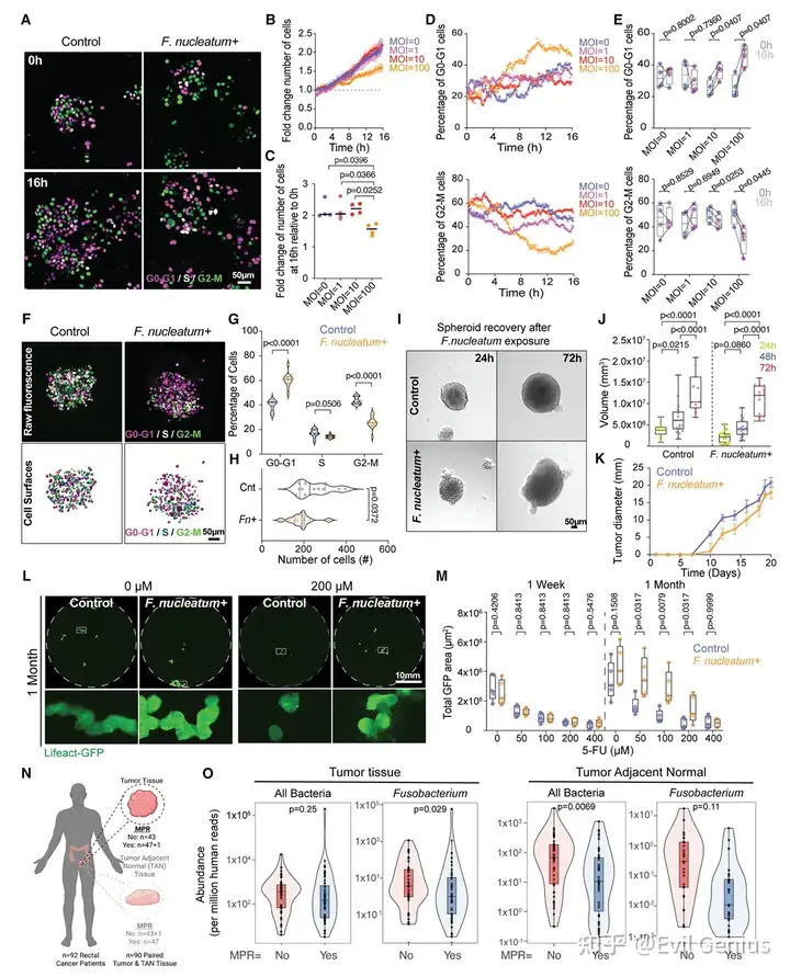
结果1、细菌富集肿瘤区域中癌细胞的空间分布

通过结合广谱细胞角蛋白(PanCK)癌细胞群体的多重免疫组织化学(IHC)与靶向RNAscope技术来分析细菌在肿瘤组织中的定位,在人类口腔鳞癌(OSCC)和结直肠癌(CRC)样本中,识别出了定植于细菌聚居微环境内的癌上皮细胞。

肿瘤内细菌主要位于肿瘤组织的坏死区域。

最近邻分析表明,细菌定植微环境中的癌细胞呈现分散的细胞分布和更大的平均核间距,而细菌阴性区域则显示细胞核聚集。

与细菌阴性肿瘤区域相比,在细菌定位的微环境中,癌上皮细胞间的细胞外空间增加。

癌上皮细胞的细胞分布和细菌负荷也与它们的增殖能力相关。在细菌定植的微环境中,与未感染肿瘤区域的癌细胞相比,上皮癌细胞的Ki67表达水平更低,癌细胞密度也更低。

宏基因组测序。

在结直肠癌中,细菌富集的微环境与上皮组织结构破坏和较低的增殖潜能相关,并进一步强调具核梭杆菌是相当一部分结直肠癌患者体内这些空间独特的肿瘤内微环境的主要促成因素。

结果2、肿瘤内细菌主要定位于细胞外空间

肿瘤内细菌(特别是具核梭杆菌)

主要定位在细胞外:通过定量分析发现,肿瘤内细菌并非主要存在于细胞内。相反,在细菌负荷高(MOI高) 的肿瘤微环境中,细菌主要( predominantly )定位于细胞外空间,即填充在癌细胞之间。

负荷与定位相关:细菌的定位方式与其负荷密切相关。细菌负荷(MOI)越高,位于细胞外的细菌比例就越大,二者呈强正相关。

高负荷导致结构破坏:

高细菌负荷的微环境(MOI >80)具有更少的宿主细胞和更分散的细胞分布(细胞间距更大)。

这一现象在皮下和直肠原位小鼠模型中均得到重复验证,且细菌负荷与细胞分散程度显著正相关。

作用模式启示:该发现表明,细菌可以通过作为一种物理存在于细胞之间的细胞外定植物,通过破坏细胞-细胞间的连接和组织结构,来抑制增殖和调节癌症生物学,这是一种不同于传统细胞内病原体作用的新模式。

结果3、肿瘤内细菌破坏癌细胞间的上皮细胞接触

具核梭杆菌的核心作用

  • 破坏细胞间连接:在高细菌负荷下,具核梭杆菌能破坏上皮细胞的间质连接,导致细胞从单层中脱离,集体迁移和扩增能力受损。
  • 导致细胞分散:受感染的癌细胞变得分散、稀疏(核间距增加),细胞密度降低,完美复现了在患者肿瘤组织和小鼠模型中观察到的"高细菌负荷微环境"特征。
  • 抑制三维成球:在3D培养中,细菌阻止了癌细胞形成致密球体,导致形成不规则、松散的细胞团。细菌定位在细胞连接处,物理性地阻碍细胞紧密结合,并造成细胞外空间增宽。
  • 直接观察证据:透射电镜提供了确凿证据,显示受感染细胞间的紧密连接被破坏,而细菌就存在于这些被破坏的连接处。

结论:具核梭杆菌通过物理性占据和破坏细胞连接点的方式,直接介导了对肿瘤上皮组织结构的破坏,这是形成体内观察到的"分散、低增殖"微环境的关键机制。

结果4、肿瘤内细菌诱导癌细胞周期停滞于G0-G1期

具核梭杆菌等细菌能特异性地导致癌细胞停滞在G0-G1期(静息/准备期),同时减少处于增殖期(S/G2-M期)的细胞比例。

这种效应是可逆的:一旦细菌被清除,癌细胞能够恢复周期进程和增殖能力。

导致化疗耐药:

  • G0-G1期停滞的细胞对靶向增殖活跃细胞(如S期)的化疗药物(如5-FU)不敏感,从而获得保护。
  • 在细菌和药物都被移除后,这些"休眠"的癌细胞能够重新开始增殖,导致肿瘤复发。这解释了为何高细菌负荷的患者往往化疗效果差、易复发。

临床证据支持:

  • 对直肠癌患者的临床数据分析发现,对化疗无应答的患者,其肿瘤组织中的具核梭杆菌负荷显著更高。
  • 这直接将实验室发现的机制与临床上的治疗耐药现象联系了起来。

结论:该研究阐明了一条从"细菌定植"到"细胞周期阻滞"再到"治疗耐药"的完整通路。肿瘤内细菌(尤其是具核梭杆菌)通过诱导癌细胞进入一种可逆的、受保护的静息状态(G0-G1期),帮助癌细胞躲避化疗杀伤,最终导致治疗失败和疾病复发。

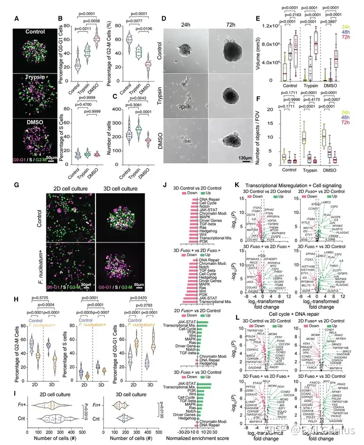
结果5、上皮细胞间相互作用调控癌细胞周期动态

上皮细胞间连接的完整性是维持正常细胞周期进程的关键。

连接破坏直接导致周期阻滞:

实验证明,即使用化学方法(胰蛋白酶、DMSO)物理性破坏上皮细胞间的连接,也同样会诱导G0-G1期细胞周期阻滞,这模拟了细菌的作用效果。

一旦细胞重新建立连接,细胞周期进程能够恢复。

3D环境放大细菌效应:

细菌诱导的G0-G1期阻滞在3D培养环境中更为显著,因为3D环境更依赖细胞-细胞间的相互作用来维持生存和增殖信号。

在2D培养中,细胞与培养皿表面的附着(细胞-基质相互作用)提供了一部分替代性生存信号,因此部分抵消了细菌破坏连接所造成的影响。

转录组层面的全局性抑制:

细菌在破坏连接的同时,引发了全基因组的转录抑制,包括:

组蛋白基因下调 → 影响染色质结构和全局转录。

核糖体基因与翻译起始因子下调 → 抑制蛋白质合成。

关键信号通路(如MAPK, JAK-STAT) 基因下调 → 阻断增殖信号。

促癌与促炎症信号的激活:

尽管增殖被抑制,细菌感染却上调了与癌症进展、转移和炎症相关的基因。这创造了一个看似矛盾但有利于肿瘤长期生存的微环境:局部细胞静息但整体促肿瘤、促免疫抑制。

核心结论:研究阐明了细菌影响癌细胞的一条核心机制:通过物理性破坏上皮细胞间的连接,进而中断细胞赖以生存和增殖的关键信号传导,最终导致细胞进入一种全局转录抑制、细胞周期停滞的"静息"状态。 这种状态不仅限制了增殖,也与化疗耐药和免疫重塑密切相关。

结果6、细胞外细菌诱导癌细胞G0-G1期周期阻滞

细胞外细菌本身足以诱导癌细胞周期阻滞,而无需细菌侵入细胞内部。

使用侵入能力极弱、主要存在于细胞外的坏死梭杆菌进行实验,发现它同样能有效诱导G0-G1期阻滞。

这强有力地证明,细菌的物理性存在和其对细胞间连接的破坏是导致周期阻滞的主要原因,而非细菌的细胞内化过程。

重申空间模式:

感染导致细胞核间距增大,重现了之前在组织和模型中观察到的细胞分散、连接破坏的表型。

细菌在3D培养中也观察到核周定位,但其主要作用模式是作为细胞外定植物发挥作用。

最终结论:该部分研究将细菌诱导细胞周期阻滞的核心机制明确地定位在细胞外事件——即细菌通过物理性破坏上皮细胞间的连接,从而中断细胞增殖所必需的信号传导,最终导致细胞进入G0-G1静息期。这澄清了先前可能存在的误区,强调了即使不侵入细胞,细菌在肿瘤微环境中依然扮演着至关重要的主动调控角色。

结果7、人类肿瘤细菌定植微环境中的静息癌细胞

CosMx空间单细胞转录组技术。

定制的CosMx探针靶向真细菌和梭杆菌rRNA,结合约1000个人类基因 panel,实现了细菌群落和宿主转录本在单细胞分辨率下的空间定位,在两个肿瘤中,大多数细胞相关的细菌信号位于髓系细胞(中性粒细胞、巨噬细胞)中,一部分位于上皮癌细胞中。

微环境分析确定了四个细胞邻域。在H_CRC_02中,邻域类型I和III包含了大多数表达上皮标志物(如EPCAM, CDH1)的癌上皮细胞,而邻域类型IV主要是成纤维细胞富集区,表达胶原分子。邻域类型II具有最高的细菌信号、升高的IL1B和CXCL8,并且富含巨噬细胞、中性粒细胞、单核细胞、树突状细胞和肥大细胞。只有一小部分上皮细胞定位于此邻域,该区域内几乎所有人类细胞类型的总转录本计数和独特基因检出数均减少,符合静息表型。

在细菌富集的特定肿瘤微环境(邻域II)中,癌细胞表现出:

  • 分散分布(而非聚集)
  • 全局转录活性显著降低(总转录本和检出基因数减少)
  • 关键生物学过程受抑制:转录、翻译、核糖体生成、热休克蛋白表达等相关基因下调。

揭示免疫相互作用:

细菌富集微环境主要由髓系免疫细胞(如巨噬细胞、中性粒细胞)主导,并高表达炎症因子。

该区域内的癌细胞抗原呈递机制(HLA分子)下调,这可能帮助它们逃避T细胞的识别和攻击。

同时,这些癌细胞又上调部分炎症介质,可能主动参与招募和激活髓系免疫细胞,从而塑造了一个免疫抑制性的微环境。

发现邻近效应:

与细菌富集区域相邻的癌细胞(邻域IV)也受到感染和炎症的影响,表现出转化/侵袭相关基因上调和粘附能力下降的特征,提示它们可能具有更高的侵袭性潜能。

验证上皮细胞的主动角色:

体外实验证实,癌细胞在接触细菌后,能像中性粒细胞一样大量分泌特定的炎症因子,证明癌细胞自身是肿瘤内抗菌炎症反应的积极参与者,而不仅仅是旁观者。

最终结论:该部分在真实的人类肿瘤组织中完整地描绘了一幅图景:细菌定植创造了一个独特的微环境,其中的癌细胞进入一种转录静息的状态,并通过调节抗原呈递和分泌炎症因子,主动与免疫系统相互作用,共同塑造了一个既利于细菌生存、又可能促进肿瘤免疫逃逸和恶性进展的局部生态位。 这为理解肿瘤内菌群如何从空间和功能上影响肿瘤生物学提供了坚实的证据。

最后,来看看方法

生活很好,有你更好

原创声明:本文系作者授权腾讯云开发者社区发表,未经许可,不得转载。

如有侵权,请联系 cloudcommunity@tencent.com 删除。

原创声明:本文系作者授权腾讯云开发者社区发表,未经许可,不得转载。

如有侵权,请联系 cloudcommunity@tencent.com 删除。

评论
登录后参与评论
0 条评论
热度
最新
推荐阅读
目录
  • 作者,Evil Genius
  • 对于每个组学的数据分析,代码语言是必须要掌握的,我们的主要内容是单细胞空间外显子,当然了,还有分子对接、分子动力学,每一个内容都离不开代码语言,作为一个合格的生信、分析人员,linux操作,R,python基础是必备的,之前的培训课程
  • 2025年单细胞空间系列课程
  • 2024年外显子分析系列课程
  • 生化小课---基因组与单细胞空间多组学
  • 2024年单细胞空间系列课程
  • 甚至远古时期23年的培训空间转录组课表
  • 都是建立在大家对linux、R、python熟练掌握的基础上。
  • 之前的培训直接就上单细胞空间外显子,但是培训多了发现了很多学员对于基础语言认知的不足,所以在25开个番外,2025番外--linux、R、python培训,主要针对我们单细胞空间外显子的基础部分,这都是我接触了很多学员之后,针对痛点总结的培训内容,代码语言相当于我们盖楼的第一层,这一层一定要盖好,后续看单细胞空间的培训内容,或者其他的多组学,甚至后面针对自己课题的个性化代码书写,就会容易很多了。
  • 当然了,当初上学的时候我的老师让我们好好学习,我也没听进去。
  • 今天我们分享文献,也是多组学(宏基因组学)
  • 知识积累
  • 肿瘤浸润细菌已在多种人类癌症(尤其黏膜部位)中被发现,并日益被视为肿瘤微环境(TME)的关键组成部分。大规模流行病学研究将特定肿瘤浸润细菌与癌症复发和治疗耐受性相关联。
  • 肿瘤内细胞外细菌通过超越增殖调控的机制重塑肿瘤微环境。
  • 结果1、细菌富集肿瘤区域中癌细胞的空间分布
  • 通过结合广谱细胞角蛋白(PanCK)癌细胞群体的多重免疫组织化学(IHC)与靶向RNAscope技术来分析细菌在肿瘤组织中的定位,在人类口腔鳞癌(OSCC)和结直肠癌(CRC)样本中,识别出了定植于细菌聚居微环境内的癌上皮细胞。
  • 肿瘤内细菌主要位于肿瘤组织的坏死区域。
  • 最近邻分析表明,细菌定植微环境中的癌细胞呈现分散的细胞分布和更大的平均核间距,而细菌阴性区域则显示细胞核聚集。
  • 与细菌阴性肿瘤区域相比,在细菌定位的微环境中,癌上皮细胞间的细胞外空间增加。
  • 癌上皮细胞的细胞分布和细菌负荷也与它们的增殖能力相关。在细菌定植的微环境中,与未感染肿瘤区域的癌细胞相比,上皮癌细胞的Ki67表达水平更低,癌细胞密度也更低。
  • 宏基因组测序。
  • 在结直肠癌中,细菌富集的微环境与上皮组织结构破坏和较低的增殖潜能相关,并进一步强调具核梭杆菌是相当一部分结直肠癌患者体内这些空间独特的肿瘤内微环境的主要促成因素。
  • 结果2、肿瘤内细菌主要定位于细胞外空间
  • 肿瘤内细菌(特别是具核梭杆菌)
  • 主要定位在细胞外:通过定量分析发现,肿瘤内细菌并非主要存在于细胞内。相反,在细菌负荷高(MOI高) 的肿瘤微环境中,细菌主要( predominantly )定位于细胞外空间,即填充在癌细胞之间。
  • 负荷与定位相关:细菌的定位方式与其负荷密切相关。细菌负荷(MOI)越高,位于细胞外的细菌比例就越大,二者呈强正相关。
  • 高负荷导致结构破坏:
  • 高细菌负荷的微环境(MOI >80)具有更少的宿主细胞和更分散的细胞分布(细胞间距更大)。
  • 这一现象在皮下和直肠原位小鼠模型中均得到重复验证,且细菌负荷与细胞分散程度显著正相关。
  • 作用模式启示:该发现表明,细菌可以通过作为一种物理存在于细胞之间的细胞外定植物,通过破坏细胞-细胞间的连接和组织结构,来抑制增殖和调节癌症生物学,这是一种不同于传统细胞内病原体作用的新模式。
  • 结果3、肿瘤内细菌破坏癌细胞间的上皮细胞接触
  • 具核梭杆菌的核心作用
  • 结论:具核梭杆菌通过物理性占据和破坏细胞连接点的方式,直接介导了对肿瘤上皮组织结构的破坏,这是形成体内观察到的"分散、低增殖"微环境的关键机制。
  • 结果4、肿瘤内细菌诱导癌细胞周期停滞于G0-G1期
  • 具核梭杆菌等细菌能特异性地导致癌细胞停滞在G0-G1期(静息/准备期),同时减少处于增殖期(S/G2-M期)的细胞比例。
  • 这种效应是可逆的:一旦细菌被清除,癌细胞能够恢复周期进程和增殖能力。
  • 导致化疗耐药:
  • 临床证据支持:
  • 结论:该研究阐明了一条从"细菌定植"到"细胞周期阻滞"再到"治疗耐药"的完整通路。肿瘤内细菌(尤其是具核梭杆菌)通过诱导癌细胞进入一种可逆的、受保护的静息状态(G0-G1期),帮助癌细胞躲避化疗杀伤,最终导致治疗失败和疾病复发。
  • 结果5、上皮细胞间相互作用调控癌细胞周期动态
  • 上皮细胞间连接的完整性是维持正常细胞周期进程的关键。
  • 连接破坏直接导致周期阻滞:
  • 实验证明,即使用化学方法(胰蛋白酶、DMSO)物理性破坏上皮细胞间的连接,也同样会诱导G0-G1期细胞周期阻滞,这模拟了细菌的作用效果。
  • 一旦细胞重新建立连接,细胞周期进程能够恢复。
  • 3D环境放大细菌效应:
  • 细菌诱导的G0-G1期阻滞在3D培养环境中更为显著,因为3D环境更依赖细胞-细胞间的相互作用来维持生存和增殖信号。
  • 在2D培养中,细胞与培养皿表面的附着(细胞-基质相互作用)提供了一部分替代性生存信号,因此部分抵消了细菌破坏连接所造成的影响。
  • 转录组层面的全局性抑制:
  • 细菌在破坏连接的同时,引发了全基因组的转录抑制,包括:
  • 组蛋白基因下调 → 影响染色质结构和全局转录。
  • 核糖体基因与翻译起始因子下调 → 抑制蛋白质合成。
  • 关键信号通路(如MAPK, JAK-STAT) 基因下调 → 阻断增殖信号。
  • 促癌与促炎症信号的激活:
  • 尽管增殖被抑制,细菌感染却上调了与癌症进展、转移和炎症相关的基因。这创造了一个看似矛盾但有利于肿瘤长期生存的微环境:局部细胞静息但整体促肿瘤、促免疫抑制。
  • 核心结论:研究阐明了细菌影响癌细胞的一条核心机制:通过物理性破坏上皮细胞间的连接,进而中断细胞赖以生存和增殖的关键信号传导,最终导致细胞进入一种全局转录抑制、细胞周期停滞的"静息"状态。 这种状态不仅限制了增殖,也与化疗耐药和免疫重塑密切相关。
  • 结果6、细胞外细菌诱导癌细胞G0-G1期周期阻滞
  • 细胞外细菌本身足以诱导癌细胞周期阻滞,而无需细菌侵入细胞内部。
  • 使用侵入能力极弱、主要存在于细胞外的坏死梭杆菌进行实验,发现它同样能有效诱导G0-G1期阻滞。
  • 这强有力地证明,细菌的物理性存在和其对细胞间连接的破坏是导致周期阻滞的主要原因,而非细菌的细胞内化过程。
  • 重申空间模式:
  • 感染导致细胞核间距增大,重现了之前在组织和模型中观察到的细胞分散、连接破坏的表型。
  • 细菌在3D培养中也观察到核周定位,但其主要作用模式是作为细胞外定植物发挥作用。
  • 最终结论:该部分研究将细菌诱导细胞周期阻滞的核心机制明确地定位在细胞外事件——即细菌通过物理性破坏上皮细胞间的连接,从而中断细胞增殖所必需的信号传导,最终导致细胞进入G0-G1静息期。这澄清了先前可能存在的误区,强调了即使不侵入细胞,细菌在肿瘤微环境中依然扮演着至关重要的主动调控角色。
  • 结果7、人类肿瘤细菌定植微环境中的静息癌细胞
  • CosMx空间单细胞转录组技术。
  • 定制的CosMx探针靶向真细菌和梭杆菌rRNA,结合约1000个人类基因 panel,实现了细菌群落和宿主转录本在单细胞分辨率下的空间定位,在两个肿瘤中,大多数细胞相关的细菌信号位于髓系细胞(中性粒细胞、巨噬细胞)中,一部分位于上皮癌细胞中。
  • 微环境分析确定了四个细胞邻域。在H_CRC_02中,邻域类型I和III包含了大多数表达上皮标志物(如EPCAM, CDH1)的癌上皮细胞,而邻域类型IV主要是成纤维细胞富集区,表达胶原分子。邻域类型II具有最高的细菌信号、升高的IL1B和CXCL8,并且富含巨噬细胞、中性粒细胞、单核细胞、树突状细胞和肥大细胞。只有一小部分上皮细胞定位于此邻域,该区域内几乎所有人类细胞类型的总转录本计数和独特基因检出数均减少,符合静息表型。
  • 在细菌富集的特定肿瘤微环境(邻域II)中,癌细胞表现出:
  • 揭示免疫相互作用:
  • 细菌富集微环境主要由髓系免疫细胞(如巨噬细胞、中性粒细胞)主导,并高表达炎症因子。
  • 该区域内的癌细胞抗原呈递机制(HLA分子)下调,这可能帮助它们逃避T细胞的识别和攻击。
  • 同时,这些癌细胞又上调部分炎症介质,可能主动参与招募和激活髓系免疫细胞,从而塑造了一个免疫抑制性的微环境。
  • 发现邻近效应:
  • 与细菌富集区域相邻的癌细胞(邻域IV)也受到感染和炎症的影响,表现出转化/侵袭相关基因上调和粘附能力下降的特征,提示它们可能具有更高的侵袭性潜能。
  • 验证上皮细胞的主动角色:
  • 体外实验证实,癌细胞在接触细菌后,能像中性粒细胞一样大量分泌特定的炎症因子,证明癌细胞自身是肿瘤内抗菌炎症反应的积极参与者,而不仅仅是旁观者。
  • 最终结论:该部分在真实的人类肿瘤组织中完整地描绘了一幅图景:细菌定植创造了一个独特的微环境,其中的癌细胞进入一种转录静息的状态,并通过调节抗原呈递和分泌炎症因子,主动与免疫系统相互作用,共同塑造了一个既利于细菌生存、又可能促进肿瘤免疫逃逸和恶性进展的局部生态位。 这为理解肿瘤内菌群如何从空间和功能上影响肿瘤生物学提供了坚实的证据。
  • 最后,来看看方法
  • 生活很好,有你更好
领券
问题归档专栏文章快讯文章归档关键词归档开发者手册归档开发者手册 Section 归档