首页
学习
活动
专区
圈层
工具
发布
首页
学习
活动
专区
圈层
工具
MCP广场
社区首页 >专栏 >具有不同肿瘤阶段的胃癌单细胞与空转联合分析(2025年2月发表)

具有不同肿瘤阶段的胃癌单细胞与空转联合分析(2025年2月发表)

作者头像
生信技能树
发布2025-07-20 10:00:26
发布2025-07-20 10:00:26
3680
举报
文章被收录于专栏:生信技能树生信技能树

周末的看文献时间,今天学习的是2025年2月14号发表在 Adv Sci (Weinh) 杂志,文献标题为:《Dissecting the Spatial and Single-Cell Transcriptomic Architecture of Cancer Stem Cell Niche Driving Tumor Progression in Gastric Cancer》

本文通过对32例处于不同恶性阶段的人类胃黏膜组织进行空间和单细胞RNA测序揭示了肿瘤上皮的表型可塑性以及从成熟的胃主细胞到CSC状态的转录轨迹,这一过程与表皮生长因子受体(EGFR)和WNT信号通路的激活相关。

数据背景

首先对28个人类胃黏膜样本进行单细胞转录组测序,包括5名正常对照(NC)供体、10名胃炎(GS)患者和13名胃癌(GC)患者(图1A)。此外,为了验证 scRNA-seq 的结果,又在4个不同肿瘤阶段的GC样本中进行了空间转录组学分析。所有GC患者在肿瘤手术前均未接受过任何治疗。

image-20250719203632344
image-20250719203632344
image-20250719203823728
image-20250719203823728

经过严格的质量控制,最终得到128,940个高质量细胞用于进一步分析,这些细胞根据特定细胞类型标记物的表达(支持信息表S2)和拷贝数变异(CNV)分析(图1B、C)被分为十种主要细胞类型,包括

  • 成纤维细胞(Fib,标记为DCN和LUM)
  • 内皮细胞(Endo,标记为PECAM1和CLDN5)
  • 肥大细胞(Mast,标记为TPSAB1和CPA3)
  • 单核细胞/巨噬细胞(Mono/Mac,标记为IL1B和C1QB)
  • T淋巴细胞(TLC,标记为CD3D/E和CD2)
  • B淋巴细胞(BLC,标记为CD79A和MS4A1)
  • 浆细胞(Plasma,标记为JCHAIN和IGHA1)
  • 增殖细胞(Cycling,标记为MKI67)
  • 非恶性上皮细胞(EPI,标记为TFF2和GKN1)
  • 恶性上皮细胞(EPI_M,标记为EPCAM和KRT17)

但是没找到作者把相关的数据放在哪里,就看看文献思路吧~

上皮细胞亚群细分

上皮细胞细分为11个主要簇,注释如下(图2A、B):

  • 胃主细胞 chief cell(标记为PGA3和PGA4)
  • 胃小凹黏液细胞 pit mucous cell(PMC,标记为GKN1和MUC5AC)
  • 腺黏液细胞 gland mucous cell(GMC,标记为MUC6)
  • 壁细胞 parietal cell(标记为ATP4A和GIF)
  • 肠细胞 enterocyte cell(标记为APOA1)
  • 杯状细胞 goblet cell(标记为MUC2)
  • 肠内分泌细胞 enteroendocrine cell(EEC,标记为CHGA)
  • 化生性柱状上皮细胞 SPEM cell (SPEM,标记为MUC6和TFF2的中位表达水平)
  • 三个恶性细胞亚群malignant cells:根据代表性标志基因的表达被识别为T1(标记为REG1B)、T2(标记为KRT17)、癌症干细胞(CSCs,标记为SOX9和OLFM4)

细胞在不同分组中的比例变化:

与正常对照(NC)相比,胃炎(GS)和胃癌(GC)中SPEM的丰度显著增加,且在GC中更高,而壁细胞的比例在胃炎和胃癌中逐渐减少。此外,包括T1、T2和CSCs的恶性上皮细胞簇在胃癌中的百分比更高(图2C)。这些发现与先前的研究一致,表明癌前胃化生的特征是从胃主细胞向SPEM的转变,同时伴有壁细胞的丢失。

恶性细胞深入分析

CSCs高表达肿瘤干性基因(PROM1、CD24、CD47、ANPEP、ALDH1A1、OLFM4和SOX9),并且表现出较高的癌症干性评分(支持信息图S2A、B),同时还激活了癌驱动基因EGFR和ERBB2(图2D)。

PROGENy分析证实:CSCs表现出炎症通路(如NFκB、TNFα)以及干性相关信号通路(如WNT、缺氧、EGFR和TGF-β信号)的激活(图2E)。

多重免疫荧光染色验证:在胃癌区域存在共染SOX9、OLFM4和EpCAM的CSCs(图2F)

Slingshot轨迹分析:揭示了两个主要的分化谱系。谱系1表明SPEM细胞起源于胃主细胞的转分化,并随后发展为T2和CSCs(图2G),这一结果得到了Monocle轨迹分析的验证(图2H)

单细胞结果的空转验证

癌症干细胞(CSCs)在胃癌组织中的空间分布特征:对早期和晚期胃癌组织进行了空间转录组学分析(图3A),降维聚类分析揭示了六个空间簇(C0-C5,图3B)。

  • C1和C2簇:主要表达与胃黏液和消化酶分泌相关的标记基因(如MUC5AC、GKN1、PGC和LIPF),主要分布在正常胃黏膜区域。
  • C0和C4簇:主要表达成纤维细胞和周细胞相关的标记基因(如SFRP1、DCN、TAGLN和MYH11),也局限于正常胃黏膜区域。
  • C3和C5簇:高表达干细胞标记基因(如OLFM4、SOX9和ANPEP),分别对应于化生区域和肿瘤区域。
  • C5簇还高表达细胞增殖标记基因(如MKI67和TOP2A),且仅位于肿瘤区域。
  • C5簇富集了与CSC相关的信号通路,如WNT、EGFR和TGF-β信号通路。

这些结果也在晚期胃癌中得到了验证,这个空间数据在这里就做了这么一点分析感觉有点可惜啊。

免疫细胞与CSCs的相互作用

单细胞转录数据分析揭示肿瘤浸润性淋巴细胞(TILs)在胃癌进展中的分子特征及其与癌症干细胞(CSCs)的相互作用:

  • 免疫细胞亚群细分自不必说,见图A,B。
  • CXCL13⁺ CD8 T细胞、FOXP3⁺ Treg 和 MKI67⁺ CD8 T 细胞表现出高水平的T细胞耗竭标志基因表达。
  • FOXP3⁺ Treg 和 MKI67⁺ CD8 T 细胞表现出高耗竭特征评分,而 CXCL13⁺ CD8 T 细胞则表现出高耗竭和细胞毒性特征评分,表明它们具有免疫抑制特性。

细胞比例变化:

  • 在胃癌(GC)中,CXCL13⁺ CD8 T细胞、FOXP3⁺ Treg和MKI67⁺ CD8 T细胞显著富集。
  • ZNF683⁺ CD8 T细胞的比例在胃癌进展过程中逐渐减少。

干细胞与免疫细胞的细胞互作:

  • CXCL13⁺ CD8 T细胞、FOXP3⁺ Treg和MKI67⁺ CD8 T细胞的丰度与CSCs之间存在显著的正相关关系。
  • CSCs通过 NECITIN2/3-TIGIT 和 LGALS9(Galectin-9)-HAVCR2 配体-受体对与免疫抑制性TILs相互作用,这些通路构成了导致免疫抑制的免疫检查点信号通路。
  • 多重免疫荧光染色验证:SOX9阳性的CSCs可以通过NECITIN2-TIGIT轴与T细胞相互作用

癌症相关成纤维细胞分析

CAFs在胃癌进展中的动态变化及其亚群的分子特征,CAFs分为六个亚群:

  • iCAF:标记为IL11、IL24、MME(CD10)、ANPEP(CD13),高表达炎症细胞因子、趋化因子和生长因子,如IL1B、IL11、IL24、WNT2/5和AREG
  • POSTN⁺ mCAF:记为LUM和POSTN
  • CST1⁺ mCAF:CST1⁺ mCAFs参与肿瘤血管生成相关信号通路VEGF-VEGFR
  • SFRP1⁺ mCAF:标记为LUM和SFRP1
  • MYLK⁺ vCAF:标记为MACM和MYLK
  • RGS5⁺ vCAF:标记为MACM和RGS5

分化轨迹分析

  • iCAFs通过POSTN⁺ mCAFs起源于CST1⁺ mCAFs。
  • RGS5⁺ vCAFs通过MYLK⁺ vCAFs从CST1⁺ mCAFs转变而来。
  • CST1⁺ mCAFs代表了一种过渡状态,决定了细胞分化路径。

预后分析

  • iCAF标志基因AREG和IL24的表达以及iCAFs的丰度与更差的预后结果相关。

接着是与CSCs的相互作用

iCAFs和CSCs之间的细胞间相互作用富集(图6C):配体-受体对,包括WNT2-FZD5/LRP6、WNT2-FZD5/LRP5、THBS2-SDC1/SDC4/CD47、IGF2-(ITGA6+ITGB4)、IGF1-(ITGA6+ITGB4)、ANGPTL4-SDC1/SDC4、HGF-MET和AREG-EGFR/ERBB2

空间转录组学结果进一步证实了iCAFs和CSCs在早期和晚期胃癌中共同存在且呈正相关(图6D、E):

  • 三个胃癌(GC)样本中癌症干细胞(CSCs)和炎症性癌症相关成纤维细胞(iCAFs)的空间分布
  • 三个胃癌(GC)样本中iCAFs和CSCs的空间分布相关性分析
  • 三个胃癌(GC)样本中AREG和ERBB2的共表达分析

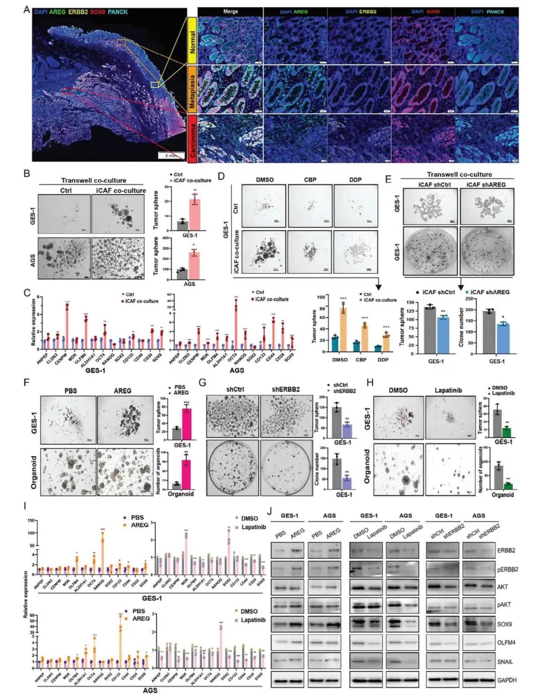
最后通过了多重免疫荧光染色、细胞共培养、基因表达分析和药物抑制实验,验证了AREG-ERBB2轴在胃癌(GC)中的作用机制:

总结:我本来想着这篇文章里面空转的分析会比较多比较深入,但是看来还是以单细胞的结果为主。数据也没有公布~

今天分享到这~

本文参与 腾讯云自媒体同步曝光计划,分享自微信公众号。
原始发表:2025-07-19,如有侵权请联系 cloudcommunity@tencent.com 删除

本文分享自 生信技能树 微信公众号,前往查看

如有侵权,请联系 cloudcommunity@tencent.com 删除。

本文参与 腾讯云自媒体同步曝光计划  ,欢迎热爱写作的你一起参与!

评论
登录后参与评论
0 条评论
热度
最新
推荐阅读
目录
  • 数据背景
  • 上皮细胞亚群细分
  • 恶性细胞深入分析
  • 单细胞结果的空转验证
  • 免疫细胞与CSCs的相互作用
  • 癌症相关成纤维细胞分析
    • 接着是与CSCs的相互作用
领券
问题归档专栏文章快讯文章归档关键词归档开发者手册归档开发者手册 Section 归档