首页
学习
活动
专区
圈层
工具
发布
社区首页 >专栏 >顶刊分享---肥胖和减肥中脂肪生态位的选择性重塑

顶刊分享---肥胖和减肥中脂肪生态位的选择性重塑

原创
作者头像
追风少年i
发布2025-07-11 09:20:46
发布2025-07-11 09:20:46
2370
举报

作者,Evil Genius

今天我们来分享文献

知识积累

减肥显著改善肥胖患者的代谢和心血管健康。

肥胖的核心特征——脂肪组织(AT)质量增加——是2型糖尿病、心血管疾病、特定癌症及早逝的主要风险因素之一。通过减重(WL)减少脂肪组织质量不仅能显著改善肥胖引发的合并症,更能降低死亡率。

脂肪组织(AT)具有独特的可塑性,能根据能量需求变化调整结构与功能以维持代谢稳态。

但在肥胖状态下,过度扩张会削弱这种适应性,引发病理性重构——包括脂肪细胞肥大、免疫细胞浸润、促炎因子释放、血管生成受损及纤维化等特征性改变,最终导致多器官炎症、胰岛素抵抗、代谢功能障碍及相关疾病。

结果1、脂肪组织重构的动态图谱解析

减重前后的单核细胞测序。

研究揭示人类体重增加及减重过程中皮下脂肪组织微环境的细胞、结构和功能动态变化。通过全组织聚类分析及成分解析,发现肥胖脂肪组织存在广泛的免疫细胞(以巨噬细胞为主,同时包含淋巴细胞)浸润现象。肥胖脂肪组织还表现出成熟脂肪细胞的缺失,提示细胞死亡增加和/或成熟脂肪细胞再生受阻。减重干预可显著缓解这些典型的有害病理改变。

结果2、持续性巨噬细胞活化

免疫细胞浸润是肥胖脂肪组织(AT)的典型病理特征。

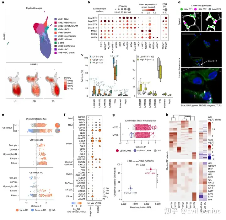
对34,280个髓系细胞进行数据分析。

肥胖状态下,脂肪组织巨噬细胞比例显著增加(均值从14%升至31%),主要为表达溶酶体标志物(CD9、TREM2)、脂代谢基因(LPL、LIPA)的脂相关巨噬细胞(LAMs;成熟型MYE2与未成熟型MYE3)。同时,表达VCAN的经典单核细胞(MYE5)增多,提示血液单核细胞的持续迁移。可视化分析与标志基因表达模式支持"单核细胞→未成熟LAMs→成熟LAMs"的分化连续体。比例分析显示,表达稳态标志物(LYVE1、FOLR2、MRC1)的组织驻留巨噬细胞(TRMs,MYE1)占比降低,邻域图证实此为相对性减少。增殖性巨噬细胞共表达MCP-1(CCL2)、TRM与LAM标志物,表明人类肥胖中存在MCP-1依赖的双群体低水平扩增。

独立于肥胖程度,LAMs丰度与代谢功能障碍呈正相关,提示LAMs可能兼具适应性与适应不良的双重特性。LAMs亚群分析揭示两个主要亚型:溶酶体/代谢主导型(LAM ST1,适应性)与炎症主导型(LAM ST2,适应不良;高表达MHC II、NLRP3)。炎症型LAMs显著高表达TLR2与TREM1——这两种协同受体在病原识别反应中启动并放大炎症。与其有害作用一致,炎症型LAMs在肥胖中数量增加且与代谢功能障碍相关。空间与蛋白分析显示二者功能取向迥异:适应性LAMs聚集于冠状结构(CLS,环绕转录沉默的脂肪细胞),而炎症型LAMs多以孤立或成对形式分布。

为无偏倚解析巨噬细胞代谢重编程,通过基因表达系统性建模代谢通量。结果显示肥胖巨噬细胞存在全局性代谢激活状态(1,895条代谢反应中1,495条异常,二项检验P=3.1×10^-148),涵盖已知及新发现的代谢改变。具体表现为:①糖酵解(促炎)与呼吸(抗炎)同步增强,与肥胖小鼠细胞外通量分析一致;②磷酸戊糖途径与TCA循环改变;③胆固醇/脂质/脂肪酸合成与氧化途径广泛激活;④细胞运输通路必然上调)。以脂肪酸为例,通量模型揭示脂肪酸去饱和酶(FADS1、SCD)与线粒体β氧化显著激活,提示其通过代谢微环境中潜在毒性脂肪酸获取能量。这种代谢激活在LAMs中最显著但不限于此,证实肥胖AT中多种髓系细胞经历深度代谢重塑。能量代谢实验证实LAMs较TRMs具有更高的基础活性与糖酵解能力,验证了转录组通量结果。

减重使髓系细胞数量显著下降(均值从31%降至18%),但各亚群比例在肥胖与减重间无差异,原位分析亦验证此点。减重促使LAMs向低炎症亚型转化,但肥胖诱导的髓系细胞状态整体持续存在。转录组通量分析证实,全局代谢激活未随减重完全逆转,但脂肪酸合成与氧化(主要是去饱和酶与酰基辅酶A合成酶)部分显著减弱,提示这些通路与微环境脂质可用性动态相关。相反,糖酵解、呼吸能力与磷酸戊糖途径通量增强,暗示随着脂肪酸水平下降,细胞转向其他能量来源。差异表达分析显示炎症小体、促炎细胞因子及趋化因子基因广泛下调。网络分析鉴定出调控TRM/LAM特化的转录因子,并证实减重虽改善炎症与稳态网络,但未能逆转LAMs的转录重编程。这些结果共同表明,肥胖脂肪组织存在以单核细胞招募和持续代谢重编程为特征的复杂激活响应。

淋巴细胞浸润减少

肥胖AT具有较高比例的CD4+和CD8+ T细胞、NK细胞和B细胞,WL改善了重塑效应WL还下调淋巴细胞活化和细胞毒性基因(ETS 1和SYTL 3),进一步支持炎症减少。

结果3、增强脂肪细胞代谢灵活性

成熟脂肪细胞在肥胖与减重过程中经历显著表型变化,通过体积增减适应能量需求波动。

肥胖组脂肪细胞体积增大,减重后减小。

细胞大小与机械敏感基因、应激/纤维化标志物呈正相关,与稳态基因负相关。相关程度提示这可能是诱发组织应激与纤维化的因素之一,或是退化循环的驱动环节。

结果4、多细胞应激的恢复

脂肪祖细胞(APCs)具有再生成熟脂肪细胞和维持基质稳态的关键功能,这些功能在肥胖状态下可能受损。APCs可聚类为:①具有多向分化潜能的DPP4-CD55高表达祖细胞(ASC/APC1);②表达经典分化基因的定向前脂肪细胞(APC2/APC3);③脂肪生成调控细胞(APC4,高表达KCNIP与CD142/F3);④促纤维化前体细胞(APC5,高表达ADAM12与POSTN)。APC3表现出与成熟脂肪细胞相似的应激特征,并高表达NOCT——该基因可能是前脂肪细胞定向分化的限制性调控因子。支持这一观点的是,APC2在特定区域选择性表达脂肪细胞晚期成熟基因。应激与促纤维化细胞数量再次反映肥胖程度,并在减重后显著减少。这两类细胞均高表达缺氧诱导因子HIF1A——已知可通过磷酸化PPARG抑制脂肪生成并促进纤维化。相应地,减重下调了缺氧相关基因、促纤维化基因(TGFβ)和抗脂肪生成基因(WNT)。这表明减重可能改善特定APC亚群因缺氧导致的分化能力损伤和促纤维化信号。

血管网络的协调生长对脂肪组织健康扩张至关重要。血管细胞亚群重现了其他组织中的内皮细胞(动脉、毛细血管、静脉)和周皮细胞(平滑肌、周细胞)分区特征。与成熟脂肪细胞和APCs类似,毛细血管内皮细胞和周皮细胞均呈现"静息态"与"应激态"特征,其比例随肥胖程度此消彼长。应激内皮细胞过表达APOLD1和SNAI1,提示病理性血管新生和内皮-间质转化;应激周皮细胞富集ADAMTS1——这种抗血管生成蛋白与周细胞脱落、纤维化转变及毛细血管稀疏相关。在不同单核与空间数据集中,减重显著降低应激血管细胞比例及相关标志物,暗示这种病理转化被逆转。

所有应激细胞状态均上调了一组共有基因特征(188个基因)。尽管多细胞应激在肥胖组织中最为显著,但它同样是瘦型组织的特征,且随年龄增长和代谢功能障碍加剧。基因与通路分析揭示了多细胞应激的潜在介导因素(包括缺氧、机械与氧化应激、Gp130介导的细胞因子、DNA损伤及细胞周期阻滞)。体外实验通过依托泊苷诱导DNA损伤,成功重现了对应激标志蛋白的影响及对ASPC分化能力的损害。减重显著降低多细胞应激基因表达,整体强调了多细胞应激通路在组织损伤与修复中的重要作用。

改变的组织niche和细胞串扰

利用空间数据集解析应激细胞在组织中的定位及影响。为明确与应激信号最相关的细胞类型,量化了低/高应激区域(50微米分格)的细胞组成。除广泛分布的应激毛细血管(EC2)外,其他应激细胞状态均富集于高应激区域。研究发现应激区域与多数免疫细胞(TRM和NK细胞除外)及动脉内皮细胞(EC4)存在显著关联(图4d)。

采用空间邻近富集分析(300微米半径,覆盖脂肪细胞),基于细胞状态邻域识别出五类特征性细胞群落:动脉微环境、静脉微环境、脂肪细胞微环境、干细胞微环境和应激微环境。各类微环境无细胞类型排他性,反映组织功能梯度特征。干细胞微环境富集多能性ASC/APC1和稳态TRMs;应激微环境则富集AD3、APC3、LAMs及其他先天(cMono/cDC2)与适应性(T细胞)免疫细胞,提示这些细胞状态参与应激诱导或响应。动脉内皮细胞形成独立微环境,与应激前体细胞(APC3)及应激周皮细胞(Mu4)共定位。直接细胞共定位分析发现免疫细胞倾向于靠近大静脉血管和LAMs(扩展数据图8d),可能反映其外渗迁移至冠状结构(CLS)的过程。

组织分区鉴定能够探究微环境内/间的信号传递模式。空间数据集中的配体-受体推断分析揭示出复杂的通讯网络:脂肪细胞微环境富集脂肪因子和神经营养因子(ADIPOQ、LEP、NRXN3);干细胞微环境以经典WNT和ECM成分(FN1、胶原蛋白、层粘连蛋白)为主;应激与动脉微环境则富含促炎趋化因子(CXCL2、CCL2、IL6)和推定应激信号(TGFB1、AREG、NAMPT、THBS1),部分分子存在功能重叠。在更大规模单核数据集中的并行细胞间通讯分析,将各类微环境信号与源/靶细胞及疾病病理机制相关联。例如,已知参与胰岛素抵抗[32]、免疫糖酵解代谢和炎症的THBS1(应激AD3来源)、ADGRE5(泛免疫表达)和NAMPT(多细胞来源)均在肥胖中表达上调,经减重后逆转,证实应激微环境浓缩了参与病理性与修复性组织重塑的关键信号分子。

结果5、抑制衰老

脂肪组织(AT)衰老恶性循环的多种细胞内/外介质,并证实逆转脂肪组织衰老是减重(WL)改善代谢健康的关键决定因素。

最后来看看方法

单细胞部分

空间部分

生活很好,有你更好

原创声明:本文系作者授权腾讯云开发者社区发表,未经许可,不得转载。

如有侵权,请联系 cloudcommunity@tencent.com 删除。

原创声明:本文系作者授权腾讯云开发者社区发表,未经许可,不得转载。

如有侵权,请联系 cloudcommunity@tencent.com 删除。

评论
登录后参与评论
0 条评论
热度
最新
推荐阅读
目录
  • 作者,Evil Genius
  • 今天我们来分享文献
  • 知识积累
  • 减肥显著改善肥胖患者的代谢和心血管健康。
  • 肥胖的核心特征——脂肪组织(AT)质量增加——是2型糖尿病、心血管疾病、特定癌症及早逝的主要风险因素之一。通过减重(WL)减少脂肪组织质量不仅能显著改善肥胖引发的合并症,更能降低死亡率。
  • 脂肪组织(AT)具有独特的可塑性,能根据能量需求变化调整结构与功能以维持代谢稳态。
  • 但在肥胖状态下,过度扩张会削弱这种适应性,引发病理性重构——包括脂肪细胞肥大、免疫细胞浸润、促炎因子释放、血管生成受损及纤维化等特征性改变,最终导致多器官炎症、胰岛素抵抗、代谢功能障碍及相关疾病。
  • 结果1、脂肪组织重构的动态图谱解析
  • 减重前后的单核细胞测序。
  • 研究揭示人类体重增加及减重过程中皮下脂肪组织微环境的细胞、结构和功能动态变化。通过全组织聚类分析及成分解析,发现肥胖脂肪组织存在广泛的免疫细胞(以巨噬细胞为主,同时包含淋巴细胞)浸润现象。肥胖脂肪组织还表现出成熟脂肪细胞的缺失,提示细胞死亡增加和/或成熟脂肪细胞再生受阻。减重干预可显著缓解这些典型的有害病理改变。
  • 结果2、持续性巨噬细胞活化
  • 免疫细胞浸润是肥胖脂肪组织(AT)的典型病理特征。
  • 对34,280个髓系细胞进行数据分析。
  • 肥胖状态下,脂肪组织巨噬细胞比例显著增加(均值从14%升至31%),主要为表达溶酶体标志物(CD9、TREM2)、脂代谢基因(LPL、LIPA)的脂相关巨噬细胞(LAMs;成熟型MYE2与未成熟型MYE3)。同时,表达VCAN的经典单核细胞(MYE5)增多,提示血液单核细胞的持续迁移。可视化分析与标志基因表达模式支持"单核细胞→未成熟LAMs→成熟LAMs"的分化连续体。比例分析显示,表达稳态标志物(LYVE1、FOLR2、MRC1)的组织驻留巨噬细胞(TRMs,MYE1)占比降低,邻域图证实此为相对性减少。增殖性巨噬细胞共表达MCP-1(CCL2)、TRM与LAM标志物,表明人类肥胖中存在MCP-1依赖的双群体低水平扩增。
  • 独立于肥胖程度,LAMs丰度与代谢功能障碍呈正相关,提示LAMs可能兼具适应性与适应不良的双重特性。LAMs亚群分析揭示两个主要亚型:溶酶体/代谢主导型(LAM ST1,适应性)与炎症主导型(LAM ST2,适应不良;高表达MHC II、NLRP3)。炎症型LAMs显著高表达TLR2与TREM1——这两种协同受体在病原识别反应中启动并放大炎症。与其有害作用一致,炎症型LAMs在肥胖中数量增加且与代谢功能障碍相关。空间与蛋白分析显示二者功能取向迥异:适应性LAMs聚集于冠状结构(CLS,环绕转录沉默的脂肪细胞),而炎症型LAMs多以孤立或成对形式分布。
  • 为无偏倚解析巨噬细胞代谢重编程,通过基因表达系统性建模代谢通量。结果显示肥胖巨噬细胞存在全局性代谢激活状态(1,895条代谢反应中1,495条异常,二项检验P=3.1×10^-148),涵盖已知及新发现的代谢改变。具体表现为:①糖酵解(促炎)与呼吸(抗炎)同步增强,与肥胖小鼠细胞外通量分析一致;②磷酸戊糖途径与TCA循环改变;③胆固醇/脂质/脂肪酸合成与氧化途径广泛激活;④细胞运输通路必然上调)。以脂肪酸为例,通量模型揭示脂肪酸去饱和酶(FADS1、SCD)与线粒体β氧化显著激活,提示其通过代谢微环境中潜在毒性脂肪酸获取能量。这种代谢激活在LAMs中最显著但不限于此,证实肥胖AT中多种髓系细胞经历深度代谢重塑。能量代谢实验证实LAMs较TRMs具有更高的基础活性与糖酵解能力,验证了转录组通量结果。
  • 减重使髓系细胞数量显著下降(均值从31%降至18%),但各亚群比例在肥胖与减重间无差异,原位分析亦验证此点。减重促使LAMs向低炎症亚型转化,但肥胖诱导的髓系细胞状态整体持续存在。转录组通量分析证实,全局代谢激活未随减重完全逆转,但脂肪酸合成与氧化(主要是去饱和酶与酰基辅酶A合成酶)部分显著减弱,提示这些通路与微环境脂质可用性动态相关。相反,糖酵解、呼吸能力与磷酸戊糖途径通量增强,暗示随着脂肪酸水平下降,细胞转向其他能量来源。差异表达分析显示炎症小体、促炎细胞因子及趋化因子基因广泛下调。网络分析鉴定出调控TRM/LAM特化的转录因子,并证实减重虽改善炎症与稳态网络,但未能逆转LAMs的转录重编程。这些结果共同表明,肥胖脂肪组织存在以单核细胞招募和持续代谢重编程为特征的复杂激活响应。
  • 淋巴细胞浸润减少
  • 肥胖AT具有较高比例的CD4+和CD8+ T细胞、NK细胞和B细胞,WL改善了重塑效应WL还下调淋巴细胞活化和细胞毒性基因(ETS 1和SYTL 3),进一步支持炎症减少。
  • 结果3、增强脂肪细胞代谢灵活性
  • 成熟脂肪细胞在肥胖与减重过程中经历显著表型变化,通过体积增减适应能量需求波动。
  • 肥胖组脂肪细胞体积增大,减重后减小。
  • 细胞大小与机械敏感基因、应激/纤维化标志物呈正相关,与稳态基因负相关。相关程度提示这可能是诱发组织应激与纤维化的因素之一,或是退化循环的驱动环节。
  • 结果4、多细胞应激的恢复
  • 脂肪祖细胞(APCs)具有再生成熟脂肪细胞和维持基质稳态的关键功能,这些功能在肥胖状态下可能受损。APCs可聚类为:①具有多向分化潜能的DPP4-CD55高表达祖细胞(ASC/APC1);②表达经典分化基因的定向前脂肪细胞(APC2/APC3);③脂肪生成调控细胞(APC4,高表达KCNIP与CD142/F3);④促纤维化前体细胞(APC5,高表达ADAM12与POSTN)。APC3表现出与成熟脂肪细胞相似的应激特征,并高表达NOCT——该基因可能是前脂肪细胞定向分化的限制性调控因子。支持这一观点的是,APC2在特定区域选择性表达脂肪细胞晚期成熟基因。应激与促纤维化细胞数量再次反映肥胖程度,并在减重后显著减少。这两类细胞均高表达缺氧诱导因子HIF1A——已知可通过磷酸化PPARG抑制脂肪生成并促进纤维化。相应地,减重下调了缺氧相关基因、促纤维化基因(TGFβ)和抗脂肪生成基因(WNT)。这表明减重可能改善特定APC亚群因缺氧导致的分化能力损伤和促纤维化信号。
  • 血管网络的协调生长对脂肪组织健康扩张至关重要。血管细胞亚群重现了其他组织中的内皮细胞(动脉、毛细血管、静脉)和周皮细胞(平滑肌、周细胞)分区特征。与成熟脂肪细胞和APCs类似,毛细血管内皮细胞和周皮细胞均呈现"静息态"与"应激态"特征,其比例随肥胖程度此消彼长。应激内皮细胞过表达APOLD1和SNAI1,提示病理性血管新生和内皮-间质转化;应激周皮细胞富集ADAMTS1——这种抗血管生成蛋白与周细胞脱落、纤维化转变及毛细血管稀疏相关。在不同单核与空间数据集中,减重显著降低应激血管细胞比例及相关标志物,暗示这种病理转化被逆转。
  • 所有应激细胞状态均上调了一组共有基因特征(188个基因)。尽管多细胞应激在肥胖组织中最为显著,但它同样是瘦型组织的特征,且随年龄增长和代谢功能障碍加剧。基因与通路分析揭示了多细胞应激的潜在介导因素(包括缺氧、机械与氧化应激、Gp130介导的细胞因子、DNA损伤及细胞周期阻滞)。体外实验通过依托泊苷诱导DNA损伤,成功重现了对应激标志蛋白的影响及对ASPC分化能力的损害。减重显著降低多细胞应激基因表达,整体强调了多细胞应激通路在组织损伤与修复中的重要作用。
  • 改变的组织niche和细胞串扰
  • 利用空间数据集解析应激细胞在组织中的定位及影响。为明确与应激信号最相关的细胞类型,量化了低/高应激区域(50微米分格)的细胞组成。除广泛分布的应激毛细血管(EC2)外,其他应激细胞状态均富集于高应激区域。研究发现应激区域与多数免疫细胞(TRM和NK细胞除外)及动脉内皮细胞(EC4)存在显著关联(图4d)。
  • 采用空间邻近富集分析(300微米半径,覆盖脂肪细胞),基于细胞状态邻域识别出五类特征性细胞群落:动脉微环境、静脉微环境、脂肪细胞微环境、干细胞微环境和应激微环境。各类微环境无细胞类型排他性,反映组织功能梯度特征。干细胞微环境富集多能性ASC/APC1和稳态TRMs;应激微环境则富集AD3、APC3、LAMs及其他先天(cMono/cDC2)与适应性(T细胞)免疫细胞,提示这些细胞状态参与应激诱导或响应。动脉内皮细胞形成独立微环境,与应激前体细胞(APC3)及应激周皮细胞(Mu4)共定位。直接细胞共定位分析发现免疫细胞倾向于靠近大静脉血管和LAMs(扩展数据图8d),可能反映其外渗迁移至冠状结构(CLS)的过程。
  • 组织分区鉴定能够探究微环境内/间的信号传递模式。空间数据集中的配体-受体推断分析揭示出复杂的通讯网络:脂肪细胞微环境富集脂肪因子和神经营养因子(ADIPOQ、LEP、NRXN3);干细胞微环境以经典WNT和ECM成分(FN1、胶原蛋白、层粘连蛋白)为主;应激与动脉微环境则富含促炎趋化因子(CXCL2、CCL2、IL6)和推定应激信号(TGFB1、AREG、NAMPT、THBS1),部分分子存在功能重叠。在更大规模单核数据集中的并行细胞间通讯分析,将各类微环境信号与源/靶细胞及疾病病理机制相关联。例如,已知参与胰岛素抵抗[32]、免疫糖酵解代谢和炎症的THBS1(应激AD3来源)、ADGRE5(泛免疫表达)和NAMPT(多细胞来源)均在肥胖中表达上调,经减重后逆转,证实应激微环境浓缩了参与病理性与修复性组织重塑的关键信号分子。
  • 结果5、抑制衰老
  • 脂肪组织(AT)衰老恶性循环的多种细胞内/外介质,并证实逆转脂肪组织衰老是减重(WL)改善代谢健康的关键决定因素。
  • 最后来看看方法
  • 单细胞部分
  • 空间部分
  • 生活很好,有你更好
领券
问题归档专栏文章快讯文章归档关键词归档开发者手册归档开发者手册 Section 归档