首页
学习
活动
专区
圈层
工具
发布
首页
学习
活动
专区
圈层
工具
MCP广场
社区首页 >专栏 >Nature | 从 ecDNA 层面研究肿瘤异质性与可塑性问题

Nature | 从 ecDNA 层面研究肿瘤异质性与可塑性问题

作者头像
生信菜鸟团
发布2025-04-26 20:50:31
发布2025-04-26 20:50:31
3720
举报
文章被收录于专栏:生信菜鸟团生信菜鸟团

Basic Information

  • 英文标题:MYC ecDNA promotes intratumour heterogeneity and plasticity in PDAC
  • 中文标题:MYC ecDNA促进胰腺导管腺癌内的肿瘤异质性与可塑性
  • 发表日期:12 March 2025
  • 文章类型:Article
  • 所属期刊:Nature
  • 文章作者:Elena Fiorini | Vincenzo Corbo
  • 文章链接:https://www.nature.com/articles/s41586-025-08721-9

Abstract

Para_01
  1. 肿瘤内异质性和表型可塑性驱动肿瘤进展和治疗耐药。
  2. 癌基因剂量变异促进了细胞状态转变和表型异质性,从而为体细胞进化提供了基础。
  3. 然而,表型异质性背后的遗传机制仍然知之甚少。
  4. 在此我们展示了染色体外DNA(ecDNA)是关键癌基因高水平焦点扩增的主要来源,也是胰腺导管腺癌(PDAC)中MYC异质性的主要贡献者。
  5. 我们证明了ecDNA根据其调控环境驱动不同水平的MYC剂量,使癌细胞能够快速且可逆地适应微环境变化。
  6. 在缺乏选择压力的情况下,高ecDNA拷贝数对PDAC细胞施加了显著的适应性成本。
  7. 我们还表明,MYC剂量影响细胞形态以及癌细胞对基质生态位因子的依赖性。
  8. 我们的研究提供了对PDAC中ecDNA的详细分析,并描述了一种驱动PDAC中MYC异质性的新遗传机制。

Main

Para_01
  1. 癌基因剂量变异是肿瘤进展和表型异质性的主要决定因素。
  2. 局部癌基因扩增和重排已被证明是癌基因剂量变异的基础,并且可以作为连续基因组片段的线性扩增或以ecDNA的形式存在。
  3. ecDNA缺乏着丝粒,因此在有丝分裂期间会不均匀地分配到子细胞中。
  4. 这种非孟德尔遗传模式使单个细胞能够根据特定微环境变化积累大量携带癌基因的ecDNA。
  5. 当癌细胞不再暴露于赋予其增强适应性的选择压力时,也会观察到ecDNA的快速减少。
Para_02
  1. 包括 GATA6、KRAS 和 MYC 在内的基因的致癌扩增已被证明能够塑造胰腺导管腺癌(PDAC)的癌症表型。
  2. MYC 活性升高通过驱动细胞增殖和肿瘤微环境的重塑,促进了生物学上具有侵袭性的 PDAC 表型。
  3. MYC 扩增在 PDAC 肝转移中显著富集,并与基底样和鳞状亚型相关。
  4. 因此,识别驱动 MYC 转录异质性的遗传事件对于加深我们对疾病进展和转移的理解至关重要。
  5. 为了克服 PDAC 组织中肿瘤细胞含量低的局限性,并全面描绘与内源性致癌基因扩增相关的动态基因组变化,我们对大量患者来源的类器官(PDOs)进行了全面表征。
  6. 通过整合 PDO 基因组、转录组和原位分析以及功能研究,揭示了基于 ecDNA 的 MYC 扩增在驱动广泛的拷贝数异质性以及 PDAC 细胞对基质生态位因子耗竭的形态和表型适应中的作用。

ecDNA-driven oncogene amplification in PDAC

Para_01
  1. 为了描述支持胰腺导管腺癌(PDAC)中拷贝数变异的基因组重排特征,我们对从39个原发肿瘤建立的41个早期传代PDO进行了全基因组测序(WGS)。
Para_02
  1. 与早期研究一致,PDO在典型的PDAC基因中表现出频繁的拷贝数改变,包括CDKN2A、TP53和SMAD4的拷贝数丢失以及KRAS和MYC的拷贝数增加(扩展数据图1a)。
  2. 使用AmpliconArchitect重建与高拷贝数增加相关的基因组区域,并将它们分类为线性、断裂-融合-桥接(BFB)、复杂或ecDNA扩增子(图1a和补充表2)。
  3. 分析显示,在41个PDO中有12个至少含有一个独特的ecDNA(图1a)。
  4. PDO中ecDNA的识别与早期基于患者切除材料的全基因组测序(WGS)分析结果一致。
  5. 我们观察到PDO中携带肿瘤扩增的比例较高(人类癌症模型计划(HCMI))相比原发肿瘤(国际癌症基因组联盟(ICGC);73.17%对比66.1%),包括ecDNA扩增(29.3%对比14.2%),这可能是由于在纯肿瘤细胞群体中检测率提高所致(扩展数据图1b,c)。

Fig. 1: Gene amplification landscape of PDAC.

- 图片说明

◉ a,基于AmpliconArchitect的PDO分类。每个样本的扩增子数量已标明。患者切除时的病理阶段和随访时的生存状态以颜色编码表示。◉ b,基因组视图展示了AmpliconArchitect重建的跨越MYC位点的扩增子结构,针对具有MYC ecDNA的类器官。显示了覆盖深度、拷贝数片段和结构变异(SV)连接。◉ c,圆形图显示在来自四名患者的原发肿瘤(P)中鉴定的扩增子区域在匹配的类器官(O)中得以保留。◉ d,癌基因图谱显示PDO中分类为ecDNA+(红色)和ecDNA−(蓝色)的基因改变。改变类型以颜色和形状编码。Gain表示拷贝数≥3,loss表示拷贝数≤1,deep loss表示拷贝数≤0.25。使用双侧Fisher精确检验确定特定基因的基因组改变与ecDNA状态之间的关联。显示P < 0.1,显著性(P < 0.05)以橙色突出显示。◉ e,棒棒糖图显示对Hallmark通路显著富集于ecDNA+ PDOs(n = 7)与ecDNA− PDOs(n = 7)的基因集富集分析。P值通过多层次分裂蒙特卡罗方法计算。NES,标准化富集分数。◉ f,箱线图显示CX9染色体不稳定性特征在ecDNA+ PDOs中富集。箱线图显示中位数(中心线)、上下四分位数(箱限)和1.5×四分位距(须)。n = 29个PDOs(ecDNA−)和n = 12个PDOs(ecDNA+)。统计显著性通过双侧Wilcoxon秩和检验评估。◉ g,在CIN70转录组特征中,ecDNA+(n = 7)和ecDNA−(n = 7)PDOs之间差异表达基因的基因集富集分析。P值通过多层次分裂蒙特卡罗方法计算。红色虚线表示富集分数的最大值和最小值。

Para_03
  1. 在我们的PDO队列中,CCND3和MYC是最常出现扩增的基因,而线性扩增子是AmpliconArchitect重建的最常见的扩增子类型(图1a)。
  2. 在41个PDO中有6个发现了CCND3的扩增,并被描述为环状、BFB或复杂扩增子(扩展数据图1d)。
  3. 在11个PDO中发现了MYC的扩增,其中2个PDO携带位于ecDNA上的MYC(图1b)。
  4. 用于通过测序报告体外切割效应的环化方法(CIRCLE-seq)验证了VR01类器官(VR01-O)中含有MYC的环状扩增子(扩展数据图1e)。
  5. MYC ecDNA来源于8号染色体上包含MYC及其相邻基因PVT1和CASC11的连续基因组区域(扩展数据图1f和补充表2)。
  6. 两种MYC ecDNA的环状扩增子断点通过毛细管测序进一步验证(扩展数据图1g,h)。
Para_04
  1. 对四个原发性PDAC样本及其匹配的PDO进行AmpliconArchitect分析表明,亲本组织与衍生PDO之间的MYC ecDNA扩增子结构是一致的(图1c和扩展数据图1i)。
Para_05
  1. 为了将 ecDNA 基因扩增模式与关键突变驱动因素联系起来,我们进行了高覆盖率的靶向测序(补充表 3)。
  2. 含有 ecDNA 的 PDO 显示出 TP53 的双等位基因失活(图 1d),并且在染色体 9 上 CDKN2A 的拷贝数丢失以及染色体 6(CCND3)和染色体 7(CDK6)上的拷贝数增加中显著富集(图 1d 和扩展数据图 2a)。
  3. 此外,ecDNA 的存在与 TGFβ 通路失活改变呈负相关(扩展数据图 2b)。
  4. 全基因组重复在携带 ecDNA 的 PDO 中更为频繁(扩展数据图 2c)。
  5. 与早期研究结果一致,与其他扩增子类型相比,ecDNA 上的基因表现出显著升高的表达水平(扩展数据图 2d)。
Para_06
  1. 通常与生物学上侵袭性肿瘤相关联的基因表达程序,例如上皮-间质转化和糖酵解,在ecDNA PDOs(n = 7)中相较于非ecDNA PDOs(n = 7)显著富集(图1e和补充表4)。
  2. ecDNA阳性PDOs还富集了定义中等水平扩增模式的拷贝数特征,这些特征与复制应激相关(图1f)。
  3. 内源性复制应激可能导致基因组不稳定性,而这种不稳定性反过来可能引发ecDNA的形成(图1g)。
  4. 与此观点一致,ecDNA阳性PDOs显示出了染色体不稳定性(CIN70)的转录组特征的富集。
  5. 总体而言,我们发现PDOs中存在异质性的基因组扩增景观,而ecDNA肿瘤表现出更具生物学侵袭性疾病的特点。

MYC drives tumour adaptation to WNT-deficient niches

Para_01
  1. 接下来,我们试图了解携带癌基因的ecDNAs如何动态响应微环境信号,以增强胰腺导管腺癌(PDAC)细胞的环境适应性。
  2. 先前的研究表明,并非所有PDAC细胞都能在缺乏WNT的环境中存活,而获得WNT非依赖性与疾病进展相关。
  3. 为了施加选择压力,我们从PDO生长培养基中去除了WNT3A和RSPO(WR),并测试了几种培养物的存活情况(扩展数据图4a)。
  4. 所测试的PDO(n = 9)均未能在缺乏WNT的培养基(−WR;扩展数据图4a)中持续传代(每周一次),证实这是一种对PDO不利的环境条件。
  5. MYC是公认的WNT通路靶基因,且在用WNT激动剂处理的PDO中,MYC表达迅速被诱导(扩展数据图4b)。
  6. 因此,我们测试了增加MYC剂量是否可以绕过对外源性WNT的需求。
  7. 确实,MYC的过表达足以消除对外源性WR的需求(扩展数据图4c,d)。
  8. 此外,过表达MYC的培养物对刺猬抑制剂C59(扩展数据图4e)完全不敏感,该抑制剂可阻断内源性WNT配体的产生。
  9. 因此,这些培养物被认为具有WR非依赖性(WRi)。
  10. 这些结果表明MYC是PDO中WNT调控生存的重要驱动因子。
Para_02
  1. 考虑到 ecDNA 状态的亚文化变异性,我们用缺乏 WNT 的培养基重新挑战了 PDO(两个 ecMYC、三个 icMYC 和一个 MYC 野生型培养物),这次在 WRi 表型出现之前没有进行细胞传代。
  2. 这种方法可能有利于选择预先存在的 WRi 细胞群体,从而允许跨重复样本进行比较,以区分可重复性与随机性的演化动态。
  3. 在这些时间点,使用全基因组测序 (WGS)、荧光原位杂交 (FISH) 和液滴数字定量 PCR (ddPCR) 检测方法评估了 ecDNA 动态变化,这些方法针对 MYC 基因座和 ecDNA 断点(见方法部分;扩展数据图 4f)。
Para_03
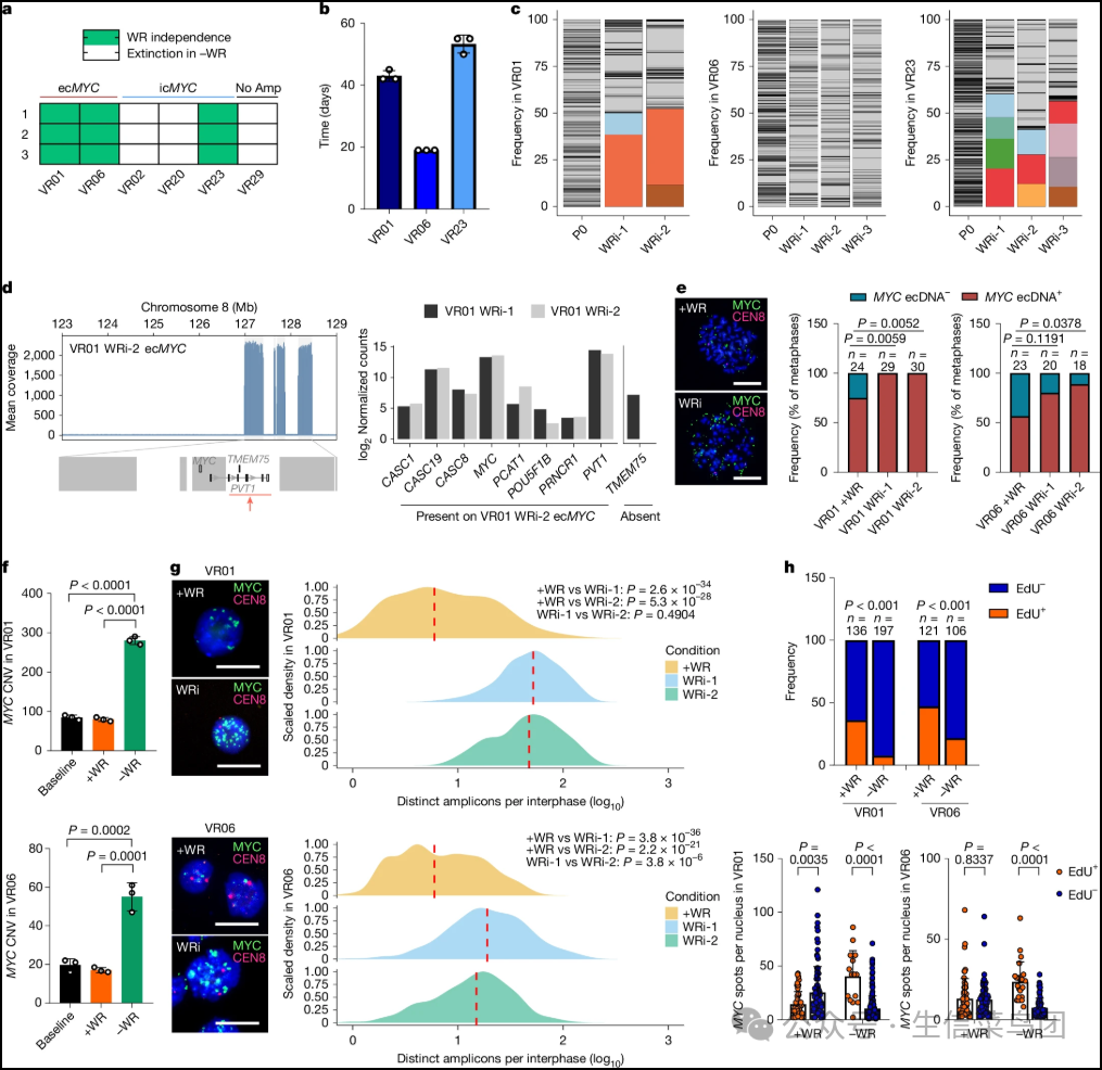
  1. 从培养基中撤除 WR 导致了三种培养物的灭绝,其中包括两种 MYC 低拷贝数增加的培养物(VR02 和 VR20)。
  2. 相反,WRi 培养物始终出现在两个 ecMYC 和一个 icMYC 中(图 3a)。
  3. WRi 表型出现的动力学在不同培养物之间有所差异,但在三个培养物的重复实验中表现一致(图 3b)。
  4. 在 WRi 出现后,所有培养物都表现出类似的指数增长模式(扩展数据图 4g),这表明其表型已完全适应。
  5. 相反,高传代的 VR06-O 已完全丧失 ecDNA,在 WNT 撤除后无法存活,并且没有证据表明生成了含有 ecDNA 的 MYC(扩展数据图 4h)。

Fig. 3: ecMYC promotes adaptation to niche factor withdrawal.

Fig__3__ec_MYC_promotes_adaptation_to_niche_factor_withdrawal_
Fig__3__ec_MYC_promotes_adaptation_to_niche_factor_withdrawal_

Fig__3__ec_MYC_promotes_adaptation_to_niche_factor_withdrawal_

- 图片说明

◉ PDOs 根据 MYC 状态分类,获得了对 WNT 激动剂(WR;绿色;三个独立重复)的独立性。Amp 表示扩增。◉ WRi 表型出现所需天数。数据为三次实验的平均值 ± 标准差。◉ 通过基因组 DNA 定量慢病毒条形码比例。频率超过 10% 的条形码被着色。P0 表示亲本培养物。◉ VR01 WRi-1 和 VR01 WRi-2 中推测的 ecDNAs 的结构差异(左),以及 ecDNAs 上基因的表达情况(右)。◉ VR01 在 WRi 出现前(+WR)和出现后(左)的有丝分裂 FISH 信号。比例尺为 20 μm。MYC ecDNA+ 有丝分裂在基线(VR01 n = 24 和 VR06 n = 23)和 WRi 后(两个生物学重复;VR01 WRi-1 n = 29,VR01 WRi-2 n = 30,VR06 WRi-1 n = 20 和 VR06 WRi-2 n = 18)的频率(右)。P 值通过 Fisher 精确双侧检验计算。◉ 通过 ddPCR 测定基线和使用(+WR)或不使用(−WR)WNT 激动剂培养后的 MYC 拷贝数。数据为三个生物学重复的平均值 ± 标准差。P 值通过单因素方差分析与 Tukey 多重比较检验计算。CNV 表示拷贝数变异。◉ VR01 和 VR06 在基线(+WR)和 WRi 出现前(+WR)及出现后(左)的间期 FISH 信号。比例尺为 20 μm。通过间期 FISH 测量 VR01(右上)和 VR06(右下)在基线(+WR)时分别分析了 103 和 308 个细胞核的拷贝数。对于 WRi 培养物,VR01 WRi-1 n = 192,VR01 WRi-2 n = 136,VR06 WRi-1 n = 296 和 VR06 WRi-2 n = 341。P 值通过 Wilcoxon 秩和双侧检验确定。红色虚线表示中位拷贝数状态。◉ 在使用(+WR)或不使用(−WR)WNT 激动剂培养的 PDOs 中,EdU+ 和 EdU− 细胞核频率(上)。P 值通过 Fisher 精确双侧检验确定。根据 EdU 状态分层的每个细胞核的 MYC 拷贝数(下)。数据为平均值 ± 标准差。P 值通过双尾 Student t 检验确定。量化总结了一次实验的数据;分析的细胞核数量:VR01 +WR n = 136,VR01 −WR n = 197,VR06 +WR n = 121 和 VR06 −WR n = 106。

Para_04
  1. 为了区分适应和选择作为WRi获得的机制,我们用一个包含一百万个随机条形码的文库转导了每个亲代PDO。
  2. 为了确保每个细胞只有一个条形码,在感染复数为0.1的情况下感染了50万个单细胞,然后将其扩增为类器官。
  3. 每个PDO培养物整合了3,000到4,000个独特的条形码,确保了高条形码多样性(图3c)。
  4. 随后将每种培养物的两到三个重复样品接种在WR耗尽的培养基中,直到WRi表型的出现。
  5. 在所有培养物中,WRi表型的获得与条形码多样性的减少以及VR01-O和VR23-O中条形码的显著扩增相关,但在VR06-O中未观察到这种现象(图3c)。
  6. 在VR01-O的两个生物学重复中,相同的亚克隆大量扩增,这表明在这种类器官培养条件下,进化过程具有高度可预测性。

Environmental-induced selection of ecDNA

Para_01
  1. 对基因组和转录组数据的综合分析排除了在研究的两个含ecDNA的PDO中,WNT通路的替代激活参与了PDO对WR撤除的适应(扩展数据图4i-m和补充表5)。
  2. 在WRi PDO中,没有任何样本显示出WNT通路调控因子的遗传改变(扩展数据图4i)。
  3. 此外,在携带ecDNA的PDO中,典型的WNT靶基因表达(例如CLND2、LGR5、AXIN2和BMP4)显著减少或被抑制(扩展数据图4j-m)。
  4. 最后,WRi培养物对刺猬抑制剂不敏感,表明适应性并非由自分泌WNT配体分泌驱动(扩展数据图4n)。
  5. 为了确定微环境压力如何影响染色体和染色体外MYC动态变化,我们最初将AmpliconArchitect应用于从两个WRi PDO培养物中获得的全基因组测序数据(扩展数据图5a)。
  6. 包含MYC的ecDNA在WRi PDO中持续存在,增加了其整数拷贝数,并且在一种情况下进化了其结构(图3d)。
  7. 在VR23-O(icMYC PDO;扩展数据图5a)中未发现环状扩增子。
  8. 对于适应性VR06-O,AmpliconArchitect重建的环状扩增子与亲本培养物中描述的环状扩增子高度一致(扩展数据图5b)。
  9. 与VR01-O亲本培养物中描述并持续存在于一个WRi PDO中的环状扩增子相比,单个基因组位点(TMEM75)未包含在VR01 WRi-2中描述的ecDNA结构中(图3d)。
  10. 相应地,RNA测序未检测到对应PDO中TMEM75的表达(图3d)。
Para_02
  1. 与包含MYC的ecDNA正向选择一致,WRi PDOs表现出统计学上显著的ecDNA+细胞比例增加(图3e)、平均MYC拷贝数增加(图3f)以及每个细胞中ecDNA分子数量的增加(图3g)。
  2. 在ecDNA+培养物中,MYC拷贝数的变化归因于ecDNAs,这一点通过ddPCR测量MYC拷贝和环状扩增子得到了证明(扩展数据图5c)。
  3. 在没有选择压力(+WR)的情况下平行培养的培养物中,平均MYC拷贝数与初始ecDNA拷贝数保持一致,这表明在这些条件下ecDNAs处于中性选择(图3f和扩展数据图5c)。
  4. 正如预期的那样,在MYC拷贝数升高的细胞中具有适应性优势,当WR撤除时,亲代培养物中增殖细胞(EdU+)的比例富含MYChigh细胞(图3h)。
  5. 值得注意的是,在未受干扰的条件下(+WR),具有极高MYC拷贝数的细胞在VR01-O的非增殖部分中富集(图3h)。
  6. 在icMYC PDO中,WRi与MYC拷贝数的轻微增加(VR23 WRi-1)或8号染色体多倍体(VR23 WRi-2)相关,且没有出现倍性变化(扩展数据图5d,e)。
  7. MYC在mRNA和蛋白质水平上的上调与拷贝数增加一致,并且在ecMYC PDOs中比在icMYC PDOs中更为显著(扩展数据图5f,g)。
  8. 对亲代和适应性ecMYC PDOs进行RNA测序分析显示,大多数ecDNA编码基因的mRNA表达增加反映了ecDNA拷贝数的增加(扩展数据图5h)。
  9. 然而,由于ecDNAs结构差异(图2e),MYC和其他基因表达变化的程度并不总是与预测的拷贝数增加一致(扩展数据图5h)。

Maintenance of ecMYC in PDAC organoids

Para_01
  1. 在我们的培养系统中,获得 WRi 不可避免地与每个细胞中 ecDNA 含量的增加相关(图 3g)。
  2. 已知由 ecDNA 驱动的癌细胞表现出更高水平的磷酸化组蛋白 H2AX(γH2AX),这对于 DNA 损伤反应的组装以及检查点蛋白的激活是必需的,这可能会导致细胞周期进程的停滞。
  3. 此外,已知能够激活 DNA 损伤感应机制的抗癌治疗被证明可以通过尚未明确的机制促进 ecDNA 的丢失。
Para_02
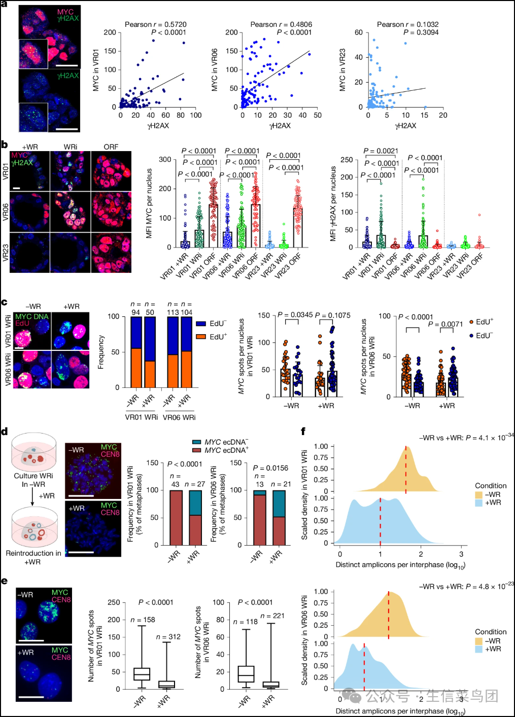
  1. 在PDOs中,ecDNA拷贝数增加的培养物中γH2AX水平更高。
  2. 在单个培养物中,MYC蛋白表达与MYC拷贝数呈显著正相关。
  3. 使用MYC水平作为ecMYC拷贝数的替代指标,我们发现γH2AX焦点在MYC高表达的细胞核中尤为突出,并且MYC表达与仅在ecDNA阳性培养物中γH2AX染色强度呈正相关。

Fig. 4: The fitness cost of an elevated ecDNA per cell content.

- 图片说明

◉ a, ecMYC 类器官在基线状态下的 MYC 和 γH2AX 的代表性免疫荧光图像(左图)。比例尺,20 μm。PDO 培养物中每个细胞的 MYC 和 γH2AX 平均荧光强度(MFI)(双侧 Pearson 相关系数;VR01 n = 105,VR06 n = 107,VR23 n = 99)(右图)。◉ b, 在三种条件下 MYC 和 γH2AX 的免疫荧光图像:+WR(基线)、WRi 和 ORF(外源性 MYC 过表达)(左图)。比例尺,10 μm。每个核中 MYC 和 γH2AX 的表达量也分别显示(中图和右图)。数据以平均值 ± 标准差表示;VR01 +WR n = 105,VR01 WRi n = 98,VR01 ORF n = 84,VR06 +WR n = 107,VR06 WRi n = 101,VR06 ORF n = 74,VR23 +WR n = 99,VR23 WRi n = 71,VR23 ORF n = 91。P 值通过单因素方差分析与 Tukey 多重比较检验确定。◉ c, 在 ±WNT 激动剂培养 3 天的 WRi PDO 中,MYC ecDNA 和 EdU 的免疫-FISH 图像(左图)。比例尺,10 μm。每种条件下 EdU+ 和 EdU− 核的频率(中图)。按 EdU 状态分层的每个核中的 MYC 拷贝数(右图)。数据以平均值 ± 标准差表示。P 值通过双尾 Student t 检验确定。来自一个实验的量化数据:VR01 WRi −WR n = 94,VR01 WRi +WR n = 50,VR06 WRi −WR n = 113,VR06 WRi +WR n = 104。◉ d, 实验示意图(左图)。VR01 WRi 在 ±WR 培养基中培养 30 天的代表性 FISH 中期分裂相图像(中图)。比例尺,20 μm。MYC ecDNA+ 中期分裂相的频率(右图):VR01 WRi −WR n = 43,VR01 WRi +WR n = 27,VR06 WRi −WR n = 13,VR06 WRi +WR n = 21。P 值通过 Fisher 精确双侧检验确定。面板 d 中的示意图由 BioRender 创建。Corbo, V. (2025) https://BioRender.com/f18c396。◉ e, VR01 WRi 在 ±WR 培养基中培养 30 天的代表性 FISH 间期图像(左图)。比例尺,20 μm。VR01 和 VR06 WRi 培养物中每个核的 MYC 斑点数量量化结果(右图)。箱线图显示中位数(中心线)、上下四分位数(箱体边界)和 1.5× 四分位间距(须)。VR01 WRi −WR n = 158 个细胞,VR01 WRi +WR n = 312 个细胞,VR06 WRi −WR n = 118 个细胞,VR06 WRi +WR n = 221 个细胞。P 值通过 Wilcoxon 秩和双侧检验确定。◉ f, VR01(上图)和 VR06(下图)在重新引入 WNT 激动剂 30 天后 MYC ecDNA 拷贝数分布的变化。P 值通过 Wilcoxon 秩和双侧检验确定。红色虚线表示中位拷贝数状态。

Para_03
  1. 通过慢病毒载体强制过表达MYC,并将培养物随后暴露于WR耗尽的培养基中,导致每个细胞中的MYC ecDNA分子快速减少(扩展数据图6c,d),维持了MYC的表达(图4b),但未导致γH2AX水平升高(图4b)。
  2. 同样,WRi icMYC PDOs也未显示出γH2AX水平的增加(图4b和扩展数据图6e)。
Para_04
  1. 为了直接评估在没有选择压力的情况下,高 ecDNA 负担是否代表一种适应性成本,我们在 WRi PDOs 的培养基中重新引入 WR,并评估了 ecDNA 动态变化以及基于 MYC 拷贝数状态的癌细胞适应性。
Para_05
  1. 正如预期的那样,在缺乏 WNT 的培养基中,MYChigh 细胞在活跃增殖的细胞群体中占比过高(图 4c)。
  2. 将培养物暴露于含 WNT 的培养基中 3 天,足以揭示 MYChigh 细胞适应性降低的情况,因为这些细胞在非增殖群体中显著富集(图 4c)。
Para_06
  1. 在 WR 补充培养基中长时间暴露(约 30 天)导致 ecDNA+ 细胞比例显著下降(图 4d),同时每个细胞的平均 MYC 拷贝数和 ecDNA 分子数量也相应减少(图 4e、f)。
Para_07
  1. ecDNA 的消除可以通过将 ecDNA 整合到染色体位置以形成均质染色区域 (HSR) 来实现,这被认为是 ecDNA 的潜在储存库。
  2. 对于 VR01-O,HSR+ 细胞的数量仅略有增加,这表明可能是 ecDNA 整合到了染色体中,或者是预先存在的 HSR+ 克隆得到了富集(扩展数据图 6f)。
  3. 由于去除施加的选择压力而导致的 ecDNA 拷贝数减少与 γH2AX 水平的降低相关(扩展数据图 6g)。
  4. 总之,我们的研究结果表明,在 PDO 中维持较高的 ecDNA 负担会产生适应性成本,除非这种负担提供了生存优势。

ecDNAs and cell phenotypes in PDAC

Para_01
  1. 我们随后评估了ecDNA积累在PDAC类器官中的表型效应。
  2. 携带ecMYC且MYC高表达的WRi PDO显示出明显的形态变化,从类似囊性结构转变为实体或筛状生长模式,而icMYC PDO则没有这种变化。
  3. 这些细胞结构特征先前已被证明与癌细胞的基底样/鳞状分化相关,无论培养基中是否添加WR,因此被认为反映了细胞内在特性。
  4. 随着每个细胞中ecDNA分子数量的减少,去除选择压力迅速逆转了ecDNA+ WRi培养物中观察到的形态变化。
  5. 相比之下,尽管选择压力被中和,MYC过表达的培养物仍然保持实体或筛状生长模式。
Para_02
  1. 接下来,我们评估了ecMYC的积累是否影响了WRi PDOs的细胞状态。
  2. ecMYC的积累与各重复样本中转录组的可预测变化相关(扩展数据图7d)。
  3. 总体而言,ecMYC的积累分别增强了VR01-O和VR06-O中的经典程序和基础程序(扩展数据图7e)。
  4. 相反,icMYC PDO对WR撤除的适应性与各重复样本中较不可预测的变化相关,因此细胞状态的变化也更具变异性(扩展数据图7f)。
  5. 转录细胞状态的变化与免疫表型数据一致,其中MYC剂量最高的PDOs(VR06)尽管存在异质性,但表现出鳞状标志物(CK5和ΔNp63)的表达,并且经典标志物GATA6相对于亲本培养物有所减少(扩展数据图7g,h)。
Para_03
  1. 与之前的研究一致,通过BRD4抑制剂JQ1靶向MYC转录显著减少了MYC–ecDNA簇(扩展数据图7i),降低了MYC mRNA水平,尤其是在VR06-O WRi中(扩展数据图7j),并且优先降低了ecMYC PDOs相对于icMYC PDO的细胞存活率(扩展数据图7k)。

Spatial profiling of ecDNA-driven MYC in PDAC

Para_01
  1. 为了研究 ecDNA 驱动的 MYC 扩增在体内的空间背景,我们在 ecDNA+(n = 2;VR01 和 VR06)和 ecDNA−(n = 2;VR23 和 VR35)PDAC 样本的福尔马林固定、石蜡包埋(FFPE)组织切片上整合了空间转录组学和细胞遗传学技术。
  2. 我们使用了 Xenium 多组织面板(377 个基因),并添加了 37 个基因,以生成总共 414 个基因的高分辨率表达数据。
  3. 所添加的基因经过精心挑选,以捕捉 PDAC 细胞状态的生物学异质性。
  4. Xenium 后续的苏木精和伊红染色使病理学家能够将空间转录组学数据与形态学注释进行交叉引用(A. Scarpa 和 C.L.;扩展数据图 8a)。
  5. 相邻切片用于 MYC 的荧光原位杂交(FISH)分析。
  6. 在所有切片中,共分析了 805,966 个细胞和 84,085,471 条总转录本(Q 值 ≥ 20)。
  7. 转录本按照先前描述的方法分配到细胞中。
  8. 对来自四种组织的空间转录组学数据进行降维处理后,返回了十个注释簇(扩展数据图 8b),我们将其映射到单个 Xenium 幻灯片上以生成空间分布图(扩展数据图 8c)。
  9. 基于 mRNA 的肿瘤细胞和基质细胞的注释及其空间分布与病理学注释一致(扩展数据图 8c)。
  10. 接下来,我们为每个组织选择了四个感兴趣区域(ROIs),确保每个区域在形态上具有独特性或被独特的微环境包围(扩展数据图 8a)。
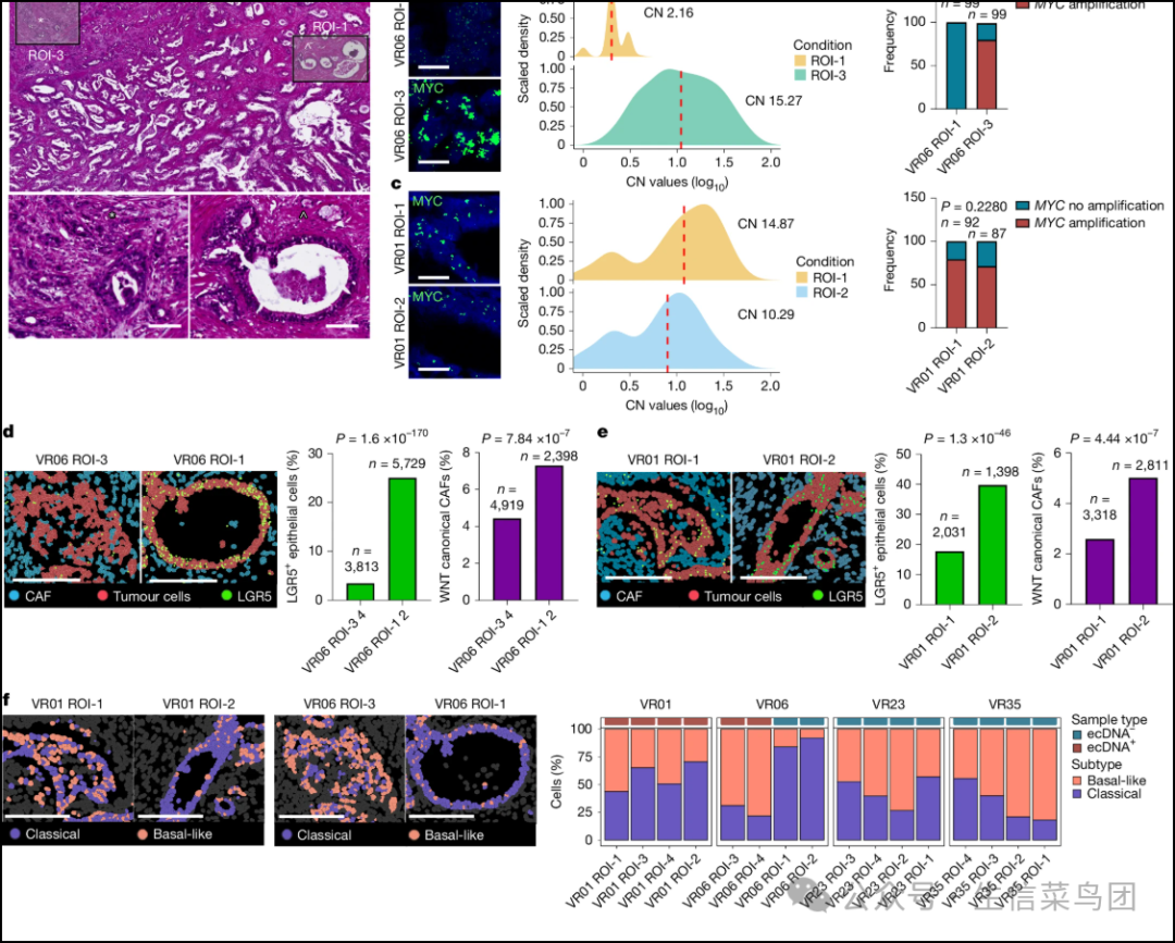
Para_02
  1. 我们观察到来自VR01的四个选定感兴趣区域(ROIs)以及VR06的两个ROIs中,每个细胞的拷贝数状态分布极广,且MYC平均拷贝数较高。
  2. 不含ecDNA的组织表现出较低的MYC拷贝数和较少的细胞间变异。
  3. MYC mRNA水平变化广泛,但在具有MYC扩增的ROIs中显著更高。
  4. 空间异质性在VR06中尤为突出,其中MYC扩增的细胞集中于实心区域,呈现小梁状和单细胞生长模式,这与未扩增细胞的腺体形态形成对比。
  5. VR06实心区域中扩增细胞的比例约为80%。
  6. ecDNA状态的分布以及平均拷贝数与WRi VR06-O培养物中观察到的结果非常相似。
  7. 在VR01中,我们未发现ecDNA+或ecDNA−区域之间的空间分离。
  8. 选定的VR01 ROIs显示MYC扩增细胞的比例升高,其中ROI-1的平均MYC拷贝数最高。

Fig. 5: Spatial mapping of ecDNA-driven MYC amplifications and epithelial cell states.

- 图片说明

◉ a, VR06-P的Post-Xenium苏木精和伊红染色(顶部)。ROI-1(插入标记;右下)和ROI-3(星号;左下)的放大倍数显示了肿瘤上皮的不同形态。比例尺,100微米。◉ b, VR06-P中ROI-1和ROI-3的间期FISH图像(左侧)。比例尺,20微米。每个细胞核MYC拷贝数(CN)状态分布,并标示每ROI的平均MYC拷贝数(中间)。虚线红线表示中位拷贝数状态。在两个选定的ROI中,显示具有MYC扩增(定义为拷贝数>5)的细胞核的比例(右侧),其中ROI-1 n = 99和ROI-3 n = 99。P值使用Fisher精确双侧检验计算。◉ c, VR01-P中ROI-1和ROI-2的间期FISH图像(左侧)。比例尺,20微米。每个细胞核MYC拷贝数状态分布,并标示每ROI的平均MYC拷贝数(中间)。虚线红线表示中位拷贝数状态。在两个选定的ROI中,也显示了具有MYC扩增(定义为拷贝数>5)的细胞核比例(右侧),其中ROI-1 n = 92和ROI-2 n = 87。P值使用Fisher精确双侧检验计算。◉ d,e, Xenium空间图显示LGR5在选定ROI的上皮细胞中的定位(左侧),以及从VR06(d)和VR01(e)中选定ROI内表达LGR5的上皮细胞频率(中间)和表达典型WNT配体的癌相关成纤维细胞(CAF)频率(右侧)。P值通过卡方检验(双侧)确定。比例尺,200微米。◉ f, Xenium空间图显示被分类为经典型或基底样型的肿瘤细胞的定位(左侧)。比例尺,200微米。各组织中指定ROI内的单个上皮亚型分布(右侧)。顶部标注了是否存在MYC扩增的区域。源数据。

Para_03
  1. 接下来,我们试图建立由ecDNA驱动的MYC扩增与经典WNT依赖性之间的体内关系。
  2. 由于LGR5的表达标志着经典WNT响应的细胞状态,我们在获得WRi表型后观察到培养物中LGR5的显著下调(扩展数据图4m)。
  3. 因此,我们使用LGR5的表达作为响应经典WNT信号的上皮细胞的标记。
  4. 在VR06中,含有ecDNA的组织亚区域(ROI-3和ROI-4)显示出表达LGR5的上皮细胞频率降低(图5d和扩展数据图9a),这与基质细胞中WNT激动剂的较低表达相对应(图5d和扩展数据图9b)。
  5. 同样,在VR01中,比较了具有最高(ROI-1)和最低(ROI-2)平均MYC拷贝数的两个ROI后发现,MYC扩增较高的组织亚区域中LGR5和WNT配体的表达显著降低(图5e和扩展数据图9c,d)。
  6. Xenium平台还绘制了所选ROI内免疫细胞和基质细胞的位置。
  7. 细胞类型流行率的变异性在患者之间比在患者内部更大,但在VR06中除外,那里高MYC扩增的肿瘤区域显示出丰富的CAF-2(CD90+肌成纤维细胞样癌症相关成纤维细胞;扩展数据图9e)。
  8. 总体而言,在高MYC扩增的区域,细胞毒性T细胞的频率降低(扩展数据图9f)。
  9. 在不同ROI中,PDAC细胞状态在单个腺体水平上表现出亚型混合(图5f)。
  10. 少数ROI显示出单一亚型的优势,例如VR06中含ecDNA的ROI中的基底样细胞(图5f)。

Discussion

Para_01
  1. 肿瘤内异质性和表型可塑性驱动肿瘤进展和治疗耐药。
  2. 癌基因剂量变异促进了细胞状态转变和表型异质性,从而为体细胞进化提供了基础。
  3. 然而,导致表型异质性的遗传机制仍知之甚少。
  4. 尽管癌基因转录可能由遗传或非遗传机制驱动,但局部扩增是致癌激活的关键驱动因素。
  5. 染色体外DNA(ecDNA)正逐渐成为肿瘤内异质性和癌症治疗耐药的重要介质。
  6. 数千个ecDNA拷贝可能在一个癌细胞中积累,从而增加癌基因的表达。
  7. 然而,关于ecDNA的转录输出是否仅反映拷贝数,还是受到ecDNA聚集及其与转录枢纽共定位的影响,仍然存在争议。
Para_02
  1. 在胰腺导管腺癌(PDAC)中,致癌基因如 GATA6、KRAS 和 MYC 的扩增塑造了肿瘤的进化。
  2. 持续的 MYC 活性对于 PDAC 的维持和进展是必需的。
  3. MYC 的扩增在转移性 PDAC 中特别富集,这突显了理解 MYC 异质性遗传驱动因素的重要性。
Para_03
  1. 在此,我们对胰腺导管腺癌(PDAC)中的ecDNA进行了详细分析。
  2. 我们已经证明,ecDNA是关键PDAC致癌基因高水平扩增的主要来源,也是PDAC中MYC异质性的主要贡献者。
  3. 与携带染色体DNA上MYC的肿瘤相比,携带ecDNA上MYC的PDOs和组织显示出显著的MYC拷贝数和表达异质性。
  4. 然而,ecDNA的转录输出不仅依赖于拷贝数,还受到顺式调控元件(如PVT1启动子)存在与否的调节。
  5. 尽管我们观察到ecDNA聚集及其JQ1诱导的分散现象,正如Hung及其同事在携带ecMYC的细胞系中所报道的那样,但MYC表达并不一定从ecDNA中扩增。
  6. 这强调了ecDNA调控环境在控制基因表达中的重要性。
Para_04
  1. 我们的数据表明,p53失活是胰腺导管腺癌(PDAC)中ecDNA形成的前提条件。
  2. 所有携带ecDNA的肿瘤都表现出双等位p53破坏,但并不总是显示出广泛的基因组不稳定性证据,例如染色体碎裂或全基因组重复。
  3. 因此,PDAC中的ecDNA形成可能通过不同于灾难性基因组事件的机制发生,可能是在肿瘤演化的后期阶段,当选择压力加剧时发生。
  4. 然而,对癌前病变和癌变病变的详细分析对于确定ecDNA形成是发生在肿瘤发生的早期还是作为基因组不稳定性的结果在后期发生至关重要。
Para_05
  1. 我们的分析表明,ecDNA上的MYC扩增为快速适应环境提供了一种确定性机制。
  2. WNT缺失的培养环境促使携带数十到数百个ecDNA分子的细胞迅速被筛选出来,这些分子可以独立于基质信号进行增殖。
  3. 选择压力的移除逆转了这一过程,导致携带较少拷贝ecDNA的细胞群体增多,并相应地降低了MYC的表达。
Para_06
  1. ecDNA 的高负担会给癌细胞带来适应性成本。
  2. 每个细胞中数百个 ecDNA 的积累,而非癌基因水平本身,与大量的 γH2AX 焦点和增殖减少相关。
  3. 我们的结果表明,除非在特定微环境条件下提供增强的适应性,否则大量的 ecDNA 可能无法被耐受。
Para_07
  1. 我们的数据进一步表明,MYC 活性升高对于胰腺导管腺癌 (PDAC) 细胞实现基质独立性至关重要,特别是在 WNT 信号通路方面。
  2. 由染色体外 DNA (ecDNA) 驱动的 MYC 扩增引发了可预测的转录组变化,并使细胞形态向实性生长模式转变,而这种转变在选择压力撤除后是可逆的。
  3. 尽管 ecDNA 的积累加剧了癌细胞对 MYC 转录的依赖性,但并不一定会诱导完全向鳞状表型的转变。
  4. 人类组织的细胞和空间特征整合分析显示,ecDNA 的 MYC 扩增与无响应的 WNT 状态相关,并且形态从腺样结构向实性结构转变。
Para_08
  1. 总的来说,我们的研究确立了MYC ecDNA作为PDAC中基因组可塑性的一个关键驱动因素,它们通过扩增致癌基因、创造异质性以及实现可逆的表型变化来促进快速而灵活的适应。

Methods

Human specimens and clinical data

人体标本与临床数据

Para_01
  1. PDAC组织样本来自维罗纳大学普通外科和胰腺外科单元。
  2. 在获取标本之前,已从患者处获得书面知情同意。
  3. 用于建立PDOs的新鲜组织及其相关的临床和随访数据是在综合大学医院信托(AOUI)伦理委员会批准的研究下收集的。
  4. 该研究的批准编号为1911(协议编号61413,项目编号1911,批准日期为2018年9月19日)。
  5. FFPE组织样本根据AOUI伦理委员会批准的协议编号1885收集,并从ARC-NET生物库中获取。

PDO establishment and culture

PDO 的建立与培养

Para_01
  1. 按照之前发表的程序建立了PDAC PDOs。
  2. 用于生成PDOs的标本经病理学家检查,确认存在肿瘤细胞。
  3. 简而言之,将组织标本切碎,并在人源分裂培养基(HSM;改良型Dulbecco’s MEM/F-12 Hams培养基,含HEPES、Glutamax和Primocin)中用胶原酶II和Dispase I在37°C下消化最多2小时。
  4. 随后,在37°C下使用TrypLE进行额外15分钟的消化。
  5. 将消化后的材料嵌入生长因子减少的Matrigel中,并覆盖含有人源完全培养基(+WR;含多种生长因子和抑制剂)。
  6. 每3至4天更换一次培养基。
  7. 对于类器官的扩增,将密集的类器官从Matrigel中取出,通过移液将其分离成小细胞簇,并重新悬浮于适量的新鲜Matrigel中。
  8. 所有类器官模型均作为HCMI项目的一部分获取,并可从美国典型培养物保藏中心(ATCC)获取。
  9. 对于每个PDO,补充表1提供了两个唯一标识符(研究ID和HCMI ID),以及与相应病例相关的临床和随访数据。
  10. HCMI ID可以在HCMI可搜索目录中查询。
  11. 对九个PDOs(VR01、VR02、VR06、VR09、VR20、VR21、VR23、VR29和VR32)评估了类器官培养对WNT3A和RSPO1的依赖性。
  12. 类器官培养每周传代一次,在+WR或人源缺失培养基(−WR)中以1:3的比例进行传代。
  13. 为了建立WRi PDOs,将在+WR中建立并扩增的类器官放置并维持在−WR中,直到WRi的出现。
  14. 由于−WR诱导的细胞死亡,培养基每3天更换一次,Matrigel每14天更换一次,且不扩增培养物,直到WRi PDOs的出现。
  15. 通过绘制在−WR培养不同天数时的圆顶数量(一个圆顶指50 μl的Matrigel)获得WRi PDOs的生长曲线。
  16. 在收集中期扩散和蛋白质之前,WRi PDOs被重新引入+WR或维持在–WR(对照)中五次传代。
  17. 为了获得‘晚期传代’PDOs,类器官在+WR培养基中传代40次后建立。
  18. 对于Wnt-C59实验,基线和适应性类器官在Wnt-C59存在的情况下每7天传代一次,分割比例为1:3。
  19. 在分传当天和培养3天后将Wnt-C59添加到培养基中。
  20. 类器官定期使用Mycoplasma Detection kit检测支原体污染。

Single-cell dissociation from organoids

从类器官中进行单细胞分离

Para_01
  1. 为了消化 Matrigel,将类器官在稀释于 HSM 中的 Dispase I(2 mg/ml;Dispase I 溶液)中于 37°C 孵育 20 分钟。
  2. 随后,使用 TrypLE(Gibco)在 37°C 下处理类器官 10 分钟以进行解离。
  3. 接着,将类器官在 Dispase I 溶液中于 37°C 再次孵育 10 分钟,并通过移液操作获得单细胞悬液。

Assessing MYC activation by WR media

通过WR介质评估MYC激活

Para_01
  1. PDOs按照之前描述的方法被分离成单细胞,并以每种条件100,000个活细胞的密度接种在Matrigel中,置于+WR环境中。
  2. 在+WR环境中重新形成类器官后,PDOs在HSM中饥饿处理过夜。
  3. 饥饿处理后,PDOs分别用+WR、−WR或HSM刺激8小时,然后收集并分离RNA。

JQ1 in vitro treatment

JQ1的体外治疗

Para_01
  1. 按照先前描述的方法,将类器官解离为单细胞。
  2. 在96孔板中,每孔以三重复的方式接种100微升含10% Matrigel/培养基的1000个活细胞。
  3. 在接种后40小时,当类器官重新形成时,加入JQ1(500 nM;S7110,Selleckchem)或载体。
  4. 经过72小时处理后,根据制造商的说明,使用CellTiter-Glo(Promega)评估细胞活力。
  5. 结果被归一化到每个PDO的载体对照组。
  6. 同时,每50微升Matrigel接种20000个活细胞,并补充培养基。
  7. 在类器官重新形成后,用JQ1(500 nM)或载体对照处理细胞。
  8. 在72小时后收集RNA和中期染色体铺展样本。

Lentiviral production and infection of organoids

慢病毒的生产与类器官感染

Para_01
  1. 为了过表达MYC,我们使用了一种携带MYC开放阅读框(mGFP标记;RC201611L4,Origene)的慢病毒载体。
  2. 通过在HEK293T细胞中转染含有MYC的质粒以及包装质粒VSV-G(使用X-tremeGENE9试剂;6365779001,Roche Sigma-Aldrich)来生产慢病毒。
  3. 转染后48小时收集病毒上清液,并根据制造商说明使用Lenti-XTM qRT–PCR滴度测定试剂盒(Takara Bio)进行定量。
  4. 使用pLenti-C-MYC-DDK-P2A-Puro lentiORF对照颗粒(PS100092V,Origene)作为非靶向对照。
  5. 慢病毒条形码文库通过在HEK293T/17细胞(ATCC:CRL-11268)中转染质粒文库和包装质粒pMD2.G及psPAX2(由D. Trono赠送;Addgene质粒#12259和Addgene质粒#12260)生成。
  6. 转染后48小时收集病毒上清液,并根据制造商说明使用Lenti-X浓缩试剂(Clontech)进行浓缩。
  7. 病毒颗粒重新悬浮于OPTI-MEM(Life Technologies)中,通过荧光测定法进行滴定,并储存于−80°C。
  8. 为了感染,将类器官解离成单细胞并重悬于感染培养基(DMEM;Gibco)、5%胎牛血清(FBS;Gibco)和1%青霉素-链霉素(Gibco)中,并添加1 μg ml−1聚凝胺和慢病毒颗粒。
  9. 然后将细胞在室温下以离心方式接种1小时,并在37°C孵育16小时。
  10. 将感染后的细胞收集,嵌入Matrigel中,并覆盖+WR培养基。
  11. 感染后48小时开始使用2 µg ml−1嘌呤霉素(Gibco)进行抗生素筛选。

Barcoding of organoids

类器官的条形码标记

Para_01
  1. 在条形码实验中,我们使用了来自 CloneTracker XP 3M 条形码-3′ 文库的 100 万条形码池,该文库位于 pScribe4-RFP-Puro(Cellecta)试剂盒中。
  2. 我们用 0.1 的病毒感染复数感染了 5 × 10^5 个细胞,以获得每个细胞带有单一条形码的细胞群体。
  3. 感染后,使用 2 µg/ml 的嘌呤霉素(Gibco)对抗器官样体进行抗生素筛选。
  4. 带条形码的器官样体随后被分为两种条件:+WR(对照组)和 -WR(选择压力),每种条件至少有两个重复。
  5. 收集了一部分带条形码的器官样体用于 DNA 提取(P0)。
  6. 对照组在收集沉淀之前扩增了五个传代,
  7. 而在选择压力下,重复样本的沉淀在 WR 独立性出现时被收集。

Organoid metaphase spreads and interphase nuclei

类器官中期染色体分布与间期核

Para_01
  1. 类器官在37°C和5%二氧化碳条件下,使用含Colcemid(1微克每毫升;Gibco)的培养基过夜孵育。
  2. 孵育结束后,按照先前描述的方法将类器官解离成单细胞。
  3. 单细胞在低渗溶液(0.56%氯化钾和0.8%柠檬酸钠)中于室温下孵育20分钟。
  4. 随后,细胞核用冰冷的甲醇-乙酸(3:1)固定,并用甲醇-乙酸(2:1)洗涤后滴加在粘附显微镜载玻片上。

DNA FISH

DNA 荧光原位杂交

Para_01
  1. 使用 ZytoLight SPEC MYC/CEN8 双色 FISH 探针(ZytoVision)进行 DNA 荧光原位杂交(FISH)。
  2. 在杂交之前,组织样品经过脱蜡和再水化处理,并用 0.1 柠檬酸盐缓冲液(pH 6)在 85 °C 下预处理 30 分钟,然后在 37 °C 下用胃蛋白酶(4 mg ml−1 在 0.9% NaCl 中,pH 1.5)处理 4 分钟。
  3. 对于组织样品和类器官(PDOs),将探针应用于载玻片并用橡胶水泥密封,在湿度控制环境中(Thermobrite 系统)于 80 °C 孵育 10 分钟以使探针和目标 DNA 解链。
  4. 随后,载玻片在 37 °C 下孵育过夜以完成杂交。
  5. 移除橡胶水泥和盖玻片后,将载玻片在室温下用 2X SSC/0.3% NP-40 溶液洗涤 15 分钟,然后在 72 °C 下洗涤 2 分钟。
  6. 在杂交后的洗涤步骤完成后,用 DAPI(1 μg ml−1,Kreatech, Leica)对载玻片进行复染。
  7. 对于组织样品和包埋的类器官,图像通过 FV4000 共聚焦显微镜(Olympus Life Science)获取。
  8. 细胞核被采集并显示为蓝色(DAPI)。
  9. 对于 PDOs,图像通过 Leica TCS SP5 荧光显微镜获取。
  10. 每个细胞核中每个探针的荧光信号数量,无论是在组织还是 PDOs 中,都通过 FIJI(ImageJ2 v2.9.0/1.53t)使用 Find plugin maxima 功能以监督方式量化,如前所述。
  11. 间期 ecDNA 聚集通过自相关函数量化,如 Hung 等人所述。

Histology and immunostaining

组织学与免疫染色

Para_01
  1. 为了进行组织病理学分析,如前所述,使用Dispase I溶液将类器官从Matrigel中释放出来,用10%中性缓冲福尔马林固定20分钟,并嵌入Histogel处理凝胶(Fisher Scientific)。
  2. 嵌入Histogel的类器官按照常规组织学程序处理并嵌入石蜡中。
  3. 为了考虑培养基的影响,在包埋和固定之前,将+WR患者来源的类器官(PDOs)置于−WR环境中24小时。
  4. 采用已建立的方法,对福尔马林固定石蜡包埋(FFPE)组织和类器官切片进行了苏木精和伊红(H&E)染色及免疫染色,并使用了以下报道的一抗:MYC(克隆EP121,ALI415G7,Biocare用于免疫组织化学(IHC);克隆Y69,ab32072,Abcam用于免疫荧光,稀释比例1:500),GATA6(多克隆;AF1700,R&D Systems用于IHC,稀释比例1:200),ΔNp63(克隆BC28,PA0163,Leica用于IHC),CK5(克隆XM26,PA0468,Novocastra用于IHC,稀释比例1:100)以及γH2AX(克隆CR55T33,14-9865-82,eBioscience用于免疫荧光,稀释比例1:500)。
  5. 对于免疫荧光,我们使用了以下二抗:Alexa Fluor 488驴抗小鼠(A21202,批号1423052,Invitrogen,稀释比例1:500),Alexa Fluor Plus555山羊抗兔(A32732,批号VC297826,Invitrogen,稀释比例1:500)。
  6. 随后使用Aperio Scan-Scope XT Slide Scanner(Aperio Technologies)扫描并数字化免疫组织化学切片。
  7. 在组织中,对每个组织的20个区域进行了MYC染色定量,并以H-score报告结果。
  8. 在类器官中,使用Aperio ImageScope量化了MYC和GATA6染色,计算为每个类器官阳性细胞核的百分比。
  9. 对于免疫荧光,图像通过FV4000共聚焦显微镜(Olympus Life Science)获取,并使用ImageJ(https://imagej.nih.gov/)进行量化。

ImmunoFISH

免疫荧光原位杂交

Para_01
  1. 基线PDOs的单细胞悬液按照之前描述的方法获得,然后使用Cytospin 4细胞离心机以1,000 rpm转速在载玻片上旋转5分钟,并用4%多聚甲醛(PFA)固定15分钟。
  2. 用PBS洗涤后,细胞用0.4% Triton透化10分钟,并在封闭溶液(5% BSA、5%山羊血清和0.1% Triton)中孵育1小时。
  3. 与一抗(MYC;ab32072,Abcam,稀释比例1:500)和二抗(Alexa Fluor 647山羊抗兔;A-21245,批号2833435,Invitrogen,稀释比例1:500)孵育后,细胞再次用4% PFA固定10分钟,并用2X SSC缓冲液洗涤。
  4. 按照之前描述的方法应用ZytoLight SPEC MYC/CEN8双色FISH探针(ZytoVision)。
  5. 图像通过FV4000共聚焦显微镜(Olympus Life Science)获取,并使用ImageJ(https://imagej.nih.gov/)进行量化。

Pulse EdU staining

脉冲 EdU 染色

Para_01
  1. 基线和WRi类器官在+WR和−WR条件下培养3天。
  2. 在第3天,加入含有EdU(10 μM)的新鲜培养基,处理1小时后收集类器官并将其分离为单细胞悬液。
  3. 细胞被涂布在载玻片上,用4%多聚甲醛固定,并用含3%牛血清白蛋白的PBS洗涤。
  4. 按照制造商的说明(Click-iT EdU成像试剂盒Alexa Fluor 555,C10338,Invitrogen)进行EdU检测,随后用4%多聚甲醛进行第二次固定,持续10分钟。
  5. 荧光原位杂交(FISH)使用ZytoLight SPEC MYC/CEN8双色荧光原位杂交探针(ZytoVision)按先前描述的方法进行。
  6. 图像通过FV4000共聚焦显微镜(Olympus Life Science)采集,并使用ImageJ(https://imagej.nih.gov/)进行量化分析。

RNAScope

RNA范围

Para_01
  1. 使用 RNAScope Multiplex Fluorescent Reagent kit v2(323100,Bio-Techne)按照制造商的说明对嵌入的类器官进行了 MYC mRNA 原位检测。
  2. 使用了目标探针 Hs-MYC-C2(311761-C2,Bio-Techne)以及 Opal 570 荧光染料。
  3. 细胞核通过 DAPI 荧光染料进行复染和可视化。
  4. 图像通过 FV4000 共聚焦显微镜(Olympus Life Science)获取,并使用 ImageJ(https://imagej.nih.gov/)进行量化。

Immunoblotting

免疫印迹

Para_01
  1. 使用细胞裂解缓冲液(Cell Signaling Technology)制备蛋白质,该缓冲液补充了蛋白酶抑制剂混合物(Sigma)和磷酸酶抑制剂PhosphoSTOP(Roche)。
  2. 蛋白质裂解物在4–12% Bis-Tris NuPAGE凝胶(Life Technologies)上分离,转移到PDVF膜(Millipore),然后与报告的抗体孵育:MYC(克隆Y69,ab32072,批次1012026-1,Abcam,稀释比例1:1,000)、γH2AX(克隆EP854(2)Y,ab81299,批次GR3203642-4,Abcam,稀释比例1:1,000)、GFP(克隆D5.1,2956,批次6,Cell Signaling Technologies,稀释比例1:1,000)、GAPDH(克隆D16H11,5174,批次6,Cell Signaling Technologies,稀释比例1:5,000)以及组蛋白H3(多克隆,09-838,批次2698469,Sigma-Aldrich,稀释比例1:5,000)的一抗,和过氧化物酶标记的AffiniPure驴抗兔(多克隆,711-035-152,Jackson Immunoresearch Laboratories)二抗。
  3. 为了考虑培养基的影响,在收集细胞沉淀之前,将+WR PDO置于−WR中24小时。
  4. 关于凝胶源数据,请参见补充图1。

Quantitative real-time PCR analysis

定量实时PCR分析

Para_01
  1. 使用 TRIzol 试剂(Life Technologies)从类器官中分离 RNA,随后使用基于柱式的 PureLink RNA Mini Kit(Thermo Fisher Scientific)进行处理。
  2. 利用 TaqMan 反转录试剂(Applied Biosystems)对 1 µg RNA 进行反转录,并在 PCR 中使用了 20 ng 的 cDNA。
  3. 使用了以下 TaqMan 探针:HPRT1(Hs02800695_m1)和 LGR5(Hs00173664_m1)。
  4. 以下引物(Eurofins)与 SYBR Green PCR master mix(Thermo Fisher)一起使用:MYC 正向引物:CCTGGTGCTCCATGAGGAGAG;MYC 反向引物:CAGACTCTGACCTTTTGCCAG;GAPDH 正向引物:ACAGTTGCCATGTAGACC;GAPDH 反向引物:TTTTTGGTTGAGCACAGG。
Para_02
  1. 使用 ΔΔCt 方法和 Sequence Detection Systems Software v1.9.1(Applied Biosystems)进行相对基因表达定量分析。

DNA isolation

DNA分离

Para_01
  1. 类器官在Cell Recovery Solution(Corning)中于4°C孵育30分钟以去除Matrigel,并通过在4°C下以10,000g离心5分钟沉淀。
  2. 对于组织,由快速冷冻的胰腺导管腺癌组织切片经病理学家评估肿瘤细胞百分比,仅使用肿瘤细胞比例高于20%的组织。
  3. 对于全基因组测序和靶向DNA测序,使用DNeasy Blood & Tissue试剂盒(Qiagen)进行DNA提取。
  4. 对于CIRCLE-seq,使用MagAttract HMW DNA试剂盒(Qiagen)提取高分子量DNA。

Whole-genome sequencing

全基因组测序

Para_01
  1. 使用DNF-467基因组DNA 50 kb试剂盒在Bioanalyzer 2100(安捷伦)上评估DNA质量。
  2. 使用NovaSeq 6000 S4试剂盒v1.5(300个循环)制备文库并进行测序,每个样本以15倍覆盖度进行1.6亿次读取。
Data pre-processing and alignment

数据预处理与对齐

Para_01
  1. 测序数据使用 nf-core/sarek 流程(v3.0.2)进行了预处理并比对到参考基因组。
  2. 简而言之,Fastp(v0.23.2)去除了低质量碱基和接头序列。
  3. BWA Mem(v0.7.17-r1188)将修剪后的读段比对到由基因组参考联盟提供的参考基因组 GRCh38(v1.4.4)。
  4. 使用 Picard Markduplicates(v4.2.6.1)标记了重复的读段。
  5. 使用 GATK BaseRecalibrator(v4.2.6.1)和 GATK ApplyBQSR(v4.2.6.1)重新校准了读段的碱基质量分数。
Amplicon characterization

扩增子表征

Para_01
  1. 使用 nf-core/circdna (v1.0.1; https://github.com/nf-core/circdna) 管道分支 ‘AmpliconArchitect’ 来定义每个全基因组测序(WGS)样本中的扩增子类别。
  2. Nf-core/circdna 使用 cnvkit (v0.9.9) 调用拷贝数,并通过 AmpliconSuite-Pipeline (https://github.com/jluebeck/AmpliconSuite-pipeline) 的功能准备拷贝数大于 4.5 的扩增片段以供 AmpliconArchitect 使用。
  3. AmpliconArchitect (v1.3_r1) 在比对读段和扩增种子上运行,以描绘扩增子的结构。
  4. 然后使用 AmpliconClassifier (v0.4.11) 将识别到的扩增子分类为环状(ecDNA)、线性(线性扩增子)、复杂(复杂扩增子)或 BFB(带有断裂-融合-桥接特征的扩增子)。
  5. 包含至少一个环状扩增子(ecDNA)的样本被标记为 ‘ecDNA+’,而没有 ecDNA 扩增子的样本被标记为 ‘ecDNA−’。
  6. 样本还根据其所含扩增子的类型被分类为 ‘环状’、‘线性’、‘复杂’、‘BFB’ 或 ‘无 fSCNA’(未检测到局灶性体细胞拷贝数扩增)(参见 Kim 等人的研究)。
  7. 对于具有多个扩增子的样本,其分类基于优先级最高的扩增子。
  8. 优先级顺序为:环状 > BFB > 复杂 > 线性。
  9. 扩增子相似性评分及其 P 值是基于扩增子区域和断点重叠计算得出的(如 Luebeck 等人所述)。
Copy number calling

拷贝数调用

Para_01
  1. WGS 样本的拷贝数调用由 cnvkit (v0.9.9) 生成。
  2. 识别出的片段随后被分类为扩增(拷贝数 ≥ 3)、缺失(拷贝数 ≤ 1)或深度缺失(拷贝数 ≤ 0.25)。
Chromosomal instability signatures

染色体不稳定性特征

Para_01
  1. 使用 R 包 CINSignatureQuantification 从全基因组测序(WGS)拷贝数谱中评估了染色体不稳定性特征,包括 CX9 复制应激特征。
Ploidy analysis

倍性分析

Para_01
  1. 样本倍性是通过使用 PURPLE (v3.8.1) 推导出来的,该工具利用来自 COBALT (v3.9) 的读取深度比和来自 AMBER (v1.14) 的肿瘤 B 等位基因频率来估算拷贝数和倍性。
  2. COBALT、AMBER 和 PURPLE 在仅肿瘤模式下运行,并使用其默认参数。
  3. 值得注意的是,对于所有样本,PURPLE 使用固定的纯度参数值设置为 1,以确保分析的一致性。

CIRCLE-seq

CIRCLE-seq

Para_01
  1. 为了富集环状DNA用于测序,每个DNA样本用ATP依赖的Plasmid-Safe DNase(Lucigen)连续消化7天以去除线性/染色体DNA。
  2. 每天添加20单位的酶和4 µl的25 mM ATP溶液。
  3. 7天后,将DNase在70°C下加热灭活30分钟。
  4. 通过针对染色体基因HBB和线粒体基因MT-CO1的qPCR评估线性DNA的倍数减少情况。
  5. 使用Phi29聚合酶对环状DNA进行扩增,方法如Koche等人所述。
  6. 扩增后的环状DNA随后被制备用于测序。
  7. 简而言之,约550 ng的DNA被剪切成平均长度约为400–450 bp,并使用NEBNext Ultra II DNA Library Prep Kit for Illumina(NEB)进行文库制备,其中包括测序接头的添加和扩增。
  8. 使用Agencourt AMPure XP磁珠进行DNA纯化。
  9. 所有制备好的文库均使用Illumina NextSeq500和NextSeq 500/550 Mid Output Kit v2.5(300个循环)进行测序,每个样本生成约1000万条配对末端150-bp读段。
Data processing

数据处理

Para_01
  1. 使用 cutadapt (v3.4) 对测序读段进行了质量和接头序列的修剪。
  2. 修剪后的读段使用 BWA Mem (v0.7.17-r1188) 比对到 GRCh38 参考基因组。
Identification of sequencing coverage

测序覆盖度的识别

Para_01
  1. 使用 deeptools 的 ‘bamCoverage’ 工具(版本 3.5.1)以默认参数计算了每 50-bp 区间的测序读取覆盖度。
  2. 为了可视化,利用 genomation (版本 1.2.6)R 包中的 ‘ScoreMatrixBin’ 函数将 50-bp 的读取覆盖度值合并为 10,000-bp 的区间。

Validation of ecDNA breakpoint

ecDNA断点的验证

Para_01
  1. VR01和VR06断点序列由AmpliconArchitect推断得出,并用于设计以下引物:VR01正向(5′>3′):TACATGGGGCTCTGCTACCTGC;VR01反向(5′>3′):AGCCTGTCCCTTTTCCCACCCA;VR06正向(5′>3′):TGCCTGCTTGTGTGAACTTGGCT;VR06反向(5′>3′):AGGTGGTGGGGGAGGCCTAAAA。
Para_02
  1. 通过PCR扩增了断裂点区域,反应体系包含30 ng基因组DNA、2.5 μl缓冲液(Quantabio)、0.5 μl 10 mM NTP混合物(Thermo Fisher Scientific)、1 μl引物和0.25 μl AccuStart II Taq DNA聚合酶(Quantabio),总体积为25 μl。
  2. PCR扩增的循环条件为95°C持续2分钟,随后进行35个循环,每个循环包括95°C持续30秒、65°C持续30秒和72°C持续30秒,最后在72°C保持5分钟。
  3. 使用5300片段分析仪(Agilent)验证PCR产物,并使用ExoSAP-IT PCR产物纯化试剂(Thermo Fisher Scientific)进行纯化。
  4. 通过毛细管电泳使用BigDye Terminator v3.1(Thermo Fisher Scientific)在Applied Biosystems 3500dx基因分析仪(Thermo Fisher Scientific)上对产物进行测序。
  5. 测序数据通过Primer-BLAST比对到人类基因组DNA。

Droplet digital PCR

液滴数字PCR

Para_01
  1. ddPCR 在 QX200 ddPCR 系统(Bio-Rad Laboratories)上进行。
  2. 对于 VR01 和 VR06,针对拷贝数变异(CNVs)的探针设计在每个 ecDNA 的连接断点上,使用 Bio-Rad Laboratories 软件完成(https://www.bio-rad.com/digital-assays/assays-create/cnd)。
  3. 这些断点先前通过 AmpliconArchitect 推断并经 Sanger 测序验证(扩展数据图 1h)。
  4. 其他使用的探针为商业可得(Bio-Rad Laboratories):MYC(FAM dHsaCP2500322)、EPHA3(FAM dHsaCP52506272)和 TTC5(HEX dHsaCP2506733)作为 VR01 和 VR06 的参考基因,EPHA3(FAM dHsaCP52506272)和 PLEKHF1(HEX dHsaCP2506723)作为 VR23 的参考基因。
  5. 扩增使用 ddPCR Supermix for Probes 按照制造商说明进行(Bio-Rad Laboratories)。
  6. 每反应使用 1 ng 基因组 DNA,总体积为 20 μl,包含探针(来自 20X 储备液)和限制性内切酶(来自 5 U μl−1)。
  7. 反应通过自动液滴生成器按照制造商协议分成约 20,000 个液滴(Bio-Rad Laboratories)。
  8. 然后将液滴转移到 96 孔 PCR 板中,并使用 PX1 PCR 板封口机(Bio-Rad Laboratories)进行热封。
  9. PCR 扩增循环条件为 95 °C 10 分钟,随后是 40 个循环的 94 °C 30 秒和 60 °C 60 秒,最后在 98 °C 进行 10 分钟的最终步骤。
  10. 热循环后,使用 QX200 液滴数字 PCR 系统(Bio-Rad Laboratories)扫描每个液滴。
  11. 根据荧光强度区分每个荧光通道(HEX 和 FAM)中的阳性液滴和阴性液滴,使用全局阈值设定,该阈值基于阴性液滴中探针不完全淬灭导致的最小本征荧光信号,与含有扩增模板(或模板)的液滴中切割探针产生的强荧光信号对比。
  12. QuantaSoft(v1.3.2.0)软件用于分析拷贝数变异。

Barcode sequencing

条形码测序

Para_01
  1. 基因组DNA按照之前描述的方法分离,并使用Qubit 4荧光计(Thermo Fisher Scientific)进行定量。
  2. 我们从CloneTracker XP文库中扩增了条形码,并添加了Illumina接头以及用于多重测序的独特样本索引序列,使用的是pScribe中的NGS Prep Kit for Barcode文库(LNGS-300)。
  3. 第一轮PCR使用25 ng基因组DNA,并在以下循环条件下进行:95°C和65°C各30秒、68°C 2分钟,共30个循环。
  4. 从第一轮PCR中取出5 μl用于第二轮PCR,该轮PCR在以下循环条件下进行:95°C和65°C各30秒、68°C 2分钟,共12个循环。
  5. 通过Fragment Analyzer高灵敏度NGS试剂盒(Agilent Technologies)定量后,我们首先将每个样本的PCR产物以等量混合,然后按照制造商的方案使用Qiagen QIAquick PCR纯化试剂盒对混合物进行纯化和浓缩。
  6. 我们使用NanoDrop分光光度计(Thermo Fisher Scientific)对文库池进行了定量,随后在NextSeq2000(Illumina)上使用定制读取和索引引物进行测序,生成长度为150 bp的双端读取,每个样本的测序深度为5百万次读取。
  7. 对于加入的PhiX对照,10%的测序是通过在定制读取孔中另外添加标准Illumina引物完成的。

Barcode sequencing analysis

条形码测序分析

Para_01
  1. 使用 BWA(v0.7.18)和 Rsubread 软件包中的 FeatureCounts 对来自基因组 DNA 测序的条形码进行了量化。
  2. 首先从 Cellecta 提供的条形码池生成了一个 FASTA 参考文件。
  3. 然后使用 BWA-MEM(v0.7.17-r1188)算法将测序读段比对到参考序列上。
  4. 随后,通过 R 包 Rsubread 中实现的 FeatureCounts 功能,利用生成的 BAM 文件量化了条形码的丰度。
  5. 为了确定主要条形码的存在,我们选择了在每个条件下频率超过总条形码频率 10% 的条形码。

DNA panel sequencing

DNA面板测序

Para_01
  1. 使用SureSelectXT HS目标富集系统(Agilent)进行文库制备。
  2. 在NextSeq 550(Illumina)上进行了2 × 150的双端测序。
  3. 面板中包含的基因列于补充表3中。

RNA sequencing

RNA测序

Para_01
  1. 使用 TRIzol 试剂(Life Technologies)从类器官中分离 RNA,随后使用基于柱式的 PureLink RNA Mini Kit(Thermo Fisher Scientific)进行纯化。
  2. 使用 Bioanalyzer 2100(Agilent)上的 RNA 6000 Nano 试剂盒评估纯化后的 RNA 质量,仅使用 RNA 完整性数值大于 9 的样本。
  3. 通过 TrueSeq Stranded mRNA Library Prep 试剂盒(Illumina)采用 poly(A) 富集方法获得 RNA 测序文库。
  4. 从基线状态的 PDO 中提取的文库(n = 14;分析结果展示在图 1 中)以 3000 万片段的深度和 150 bp 双端读取的方式在 Illumina NextSeq 500 测序仪上进行测序。
  5. 为了比较 +WR 和 WRi 类器官,在收集 RNA 前将 +WR 类器官置于 −WR 环境中 24 小时,以考虑培养基的影响。
  6. 生成的文库以 1100 万片段的深度对类器官进行测序,并以 75 bp 双端读取的方式在 Illumina NextSeq 500 测序仪上完成测序。

RNA sequencing analysis

RNA测序分析

Para_01
  1. 使用 STAR(v2.7)将 reads 比对到 GRCh38 基因组,并使用 RSEM(v1.3.3)对转录本进行定量。
  2. 对于下游分析,使用 DESeq2 R 包的 ‘rlog’ 函数对原始计数进行标准化。
  3. 在标准化之前,移除了在所有 PDO 中总计少于 20 次计数的基因。
  4. 为了比较不同扩增子类型的基因表达值,对标准化的基因值进行了 Z 分数标准化。
Tumour purity inference

肿瘤纯度推断

Para_01
  1. 使用 ESTIMATE(利用表达数据估算恶性肿瘤组织中的基质和免疫细胞)工具推断了来自 ICGC(n = 50)和 PDOs(n = 14)的一部分肿瘤的肿瘤纯度,如前所述。
Gene set enrichment analysis

基因集富集分析

Para_01
  1. 使用‘DESeq2’(版本1.34.0)进行了差异基因表达分析。
  2. 通过DESeq2中的‘lfcShrink’函数应用了log2倍数变化收缩,并采用了‘ashr’方法。
  3. 使用‘fgsea’ R包(版本1.20.0)进行了基因集富集分析,并使用‘msigdbr’ R包(版本7.5.1)提供的Hallmark路径数据库。
Subtyping

子类型

Para_01
  1. 通过使用基因集变异分析功能(v1.42.0)根据Raghavan特征对样本进行评分来执行亚型分类,并根据哪个特征(基底型或经典型)获得最高分来分配亚型。
Fusion analysis

融合分析

Para_01
  1. 为了排除嵌合蛋白重新激活 WNT 通路的可能性,对适应性类器官进行了融合分析。
  2. 使用 nf-core/rnafusion (v3.0.0) 流程从我们的 RNA 测序数据中评估基因融合;该流程在默认参数下运行,并使用了所有提供的融合检测工具(arriba、fusioncatcher、pizzly、squid、starfusion 和 stringtie)。
  3. 仅将至少由两种工具检测到的融合作为可信结果。

Xenium

氙气

Para_01
  1. 四例患者的FFPE组织(ecDNA+ n = 2 和 ecDNA− n = 2)通过Xenium(10X Genomics)原位空间转录组学技术进行了表征,使用了人类多组织和癌症基因面板(377个基因)以及一个定制的37基因面板。
  2. FFPE样本按照制造商的协议进行处理和分析,未作任何修改。
  3. Xenium后的H&E染色按照Xenium协议中描述的方法进行。
  4. 我们总共获得了807,253个细胞,每100 µm²平均解码出141.65个转录本,并且转录本的质量良好(Phred质量评分≥20的比例超过92%)。
  5. 经过质量控制后,我们保留了805,966个细胞用于后续分析。
  6. 原始的Xenium数据被导入Seurat(v5.1.0),并通过互逆主成分分析进行整合以去除批次效应校正。
  7. 细胞簇通过Leiden聚类算法在分辨率为0.2的情况下进行识别,并通过R包presto(v1.0.0)确定簇标记。
  8. Seurat簇注释被导入Xenium Explorer(10X Genomics,v3.1.0)中,用于可视化并与H&E图像进行整合。

Statistical analyses

统计分析

Para_01
  1. 所有统计分析均使用 R(v4.1.2)或 GraphPad Prism(v9.5.1)进行。
  2. Fisher 精确检验和卡方检验用于评估列联表中的显著性。
  3. 两组比较使用了 Wilcoxon 秩和检验,两个定量变量之间的关系通过 Pearson 相关性进行测量。
  4. 其他统计检验的描述见图表或图例中。

Public datasets

公共数据集

Para_01
  1. ICGC PACA-CA 和 PACA-AU WGS 样本的扩增子信息来自 Kim 等人的研究。
  2. 额外的匹配倍性数据从 ICGC 数据门户获取(https://dcc.icgc.org/releases/PCAWG)。
  3. 为了专注于胰腺导管腺癌(PDAC),在下游分析中仅使用了组织学类型为‘8500/3’、‘8560/3’、‘8140/3’、‘腺鳞癌’和‘胰腺导管腺癌’的 PDAC 肿瘤。

Reporting summary

报告摘要

Para_01
  1. 有关研究设计的更多信息,请参阅与本文关联的《自然》系列报告摘要。

Data availability

Para_01
  1. 本研究生成的所有处理数据均提供在补充表格中。
  2. RNA测序数据已存入基因表达综合数据库,登录号为GSE247129。
  3. 条形码测序数据已存入基因表达综合数据库,登录号为GSE281325。
  4. 本研究生成的全基因组测序(WGS)和CIRCLE-seq数据已存入欧洲基因组-表型档案库(EGA),分别由EBI和CRG托管,登录号分别为EGAS50000000193和EGAS50000000194。
  5. 空间转录组学数据已存入Zenodo。
  6. 本论文提供了源数据。
本文参与 腾讯云自媒体同步曝光计划,分享自微信公众号。
原始发表:2025-04-24,如有侵权请联系 cloudcommunity@tencent.com 删除

本文分享自 生信菜鸟团 微信公众号,前往查看

如有侵权,请联系 cloudcommunity@tencent.com 删除。

本文参与 腾讯云自媒体同步曝光计划  ,欢迎热爱写作的你一起参与!

评论
登录后参与评论
0 条评论
热度
最新
推荐阅读
目录
  • Basic Information
  • Abstract
  • Main
  • ecDNA-driven oncogene amplification in PDAC
  • MYC drives tumour adaptation to WNT-deficient niches
  • Environmental-induced selection of ecDNA
  • Maintenance of ecMYC in PDAC organoids
  • ecDNAs and cell phenotypes in PDAC
  • Spatial profiling of ecDNA-driven MYC in PDAC
  • Discussion
  • Methods
    • Human specimens and clinical data
    • PDO establishment and culture
    • Single-cell dissociation from organoids
    • Assessing MYC activation by WR media
    • JQ1 in vitro treatment
    • Lentiviral production and infection of organoids
    • Barcoding of organoids
    • Organoid metaphase spreads and interphase nuclei
    • DNA FISH
    • Histology and immunostaining
    • ImmunoFISH
    • Pulse EdU staining
    • RNAScope
    • Immunoblotting
    • Quantitative real-time PCR analysis
    • DNA isolation
    • Whole-genome sequencing
      • Data pre-processing and alignment
      • Amplicon characterization
      • Copy number calling
      • Chromosomal instability signatures
      • Ploidy analysis
    • CIRCLE-seq
      • Data processing
      • Identification of sequencing coverage
    • Validation of ecDNA breakpoint
    • Droplet digital PCR
    • Barcode sequencing
    • Barcode sequencing analysis
    • DNA panel sequencing
    • RNA sequencing
    • RNA sequencing analysis
      • Tumour purity inference
      • Gene set enrichment analysis
      • Subtyping
      • Fusion analysis
    • Xenium
    • Statistical analyses
    • Public datasets
    • Reporting summary
  • Data availability
领券
问题归档专栏文章快讯文章归档关键词归档开发者手册归档开发者手册 Section 归档