一、UW-Madison GI Tract Image Segmentation2022介绍
2019年,全球估计有500万人被诊断患有胃肠道癌症。在这些患者中,大约一半有资格接受放射治疗,通常每天进行 10-15 分钟,持续 1-6 周。放射肿瘤学家尝试使用 X 射线束针对肿瘤提供高剂量的放射,同时避开胃和肠道。借助集成磁共振成像和直线加速器系统(也称为 MR-Linacs)等新技术,肿瘤学家能够可视化肿瘤和肠道的日常位置,这些位置每天都在变化。在这些扫描中,放射肿瘤学家必须手动勾画出胃和肠道的位置,以便调整 X 射线束的方向,以增加向肿瘤输送的剂量并避开胃和肠道。这是一个耗时且费力的过程,可能会将治疗时间从每天 15 分钟延长到每天 1 小时,这对于患者来说可能难以忍受,而深度学习可以帮助自动化分割过程。分割胃和肠的方法将使治疗更快,并使更多的患者获得更有效的治疗。
威斯康星大学麦迪逊分校 Carbone 癌症中心是基于 MR-Linac 放射治疗的先驱,自 2015 年以来一直根据患者的日常解剖结构对患者进行 MRI 引导放射治疗。威斯康辛大学麦迪逊分校慷慨地同意支持该项目,该项目为接受治疗的患者提供匿名 MRI 在威斯康辛大学麦迪逊分校卡本癌症中心 威斯康星大学麦迪逊分校是位于威斯康星州麦迪逊市的一所公立赠地研究型大学。威斯康星理念是大学向州、民族和世界做出的承诺,即他们的努力将使所有公民受益。
MRI 扫描来自实际的癌症患者,他们在放射治疗期间的不同日期进行了1-5 次 MRI 扫描。通过深度学习技术可以帮助放射肿瘤学家将安全地向肿瘤提供更高剂量的放射,同时避开胃和肠道。这将使癌症患者的日常治疗更快,让他们获得更有效的治疗、更少的副作用和更好的长期癌症控制。
二、UW-Madison GI Tract Image Segmentation2022任务
MRI 扫描中自动分割胃和肠道。
三、UW-Madison GI Tract Image Segmentation2022数据集
训练注释以RLE编码蒙版形式提供,图像采用 16 位灰度 PNG 格式。每个案例都由多组扫描切片代表(每组由扫描发生的日期标识)。有些案例按时间划分(早期在训练中,后期在测试中),而有些案例则按案例划分 - 整个案例都在训练或测试中。
train.csv - 所有训练对象的 ID 和掩码。
Sample_submission.csv - 正确格式的示例提交文件
train - 案例/日期文件夹的文件夹,每个文件夹包含给定日期特定案例的切片图像。
图像文件名包含4个数字(例如 276_276_1.63_1.63.png)。这四个数字是切片宽度/高度(以像素为单位的整数)和宽度/高度像素间距(以毫米为单位的浮点数)。前两个定义切片的分辨率。最后两项记录每个像素的物理尺寸。上下方向物理像素厚度为3mm。
评价指标:平均 Dice 系数和 3D Hausdorff 距离。
数据集下载链接:
https://www.kaggle.com/competitions/uw-madison-gi-tract-image-segmentation/data
四、技术路线
1、将图像缩放到固定大小256x256。图像预处理,再采用均值为0,方差为1的方式进行归一化处理,再将数据分成训练集和验证集,并对训练数据进行数据增强扩增5倍。
2、搭建VNet2d网络,使用AdamW优化器,学习率是0.001,batchsize是64,epoch是300,损失函数采用多类别的dice和交叉熵。
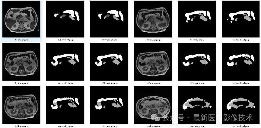
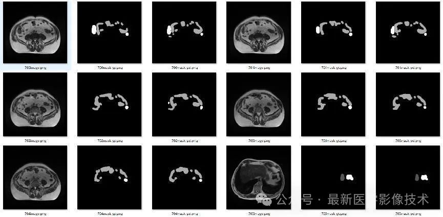
3、训练结果和验证结果


4、验证集部分分割结果









