一、OCELOT2023介绍
组织学图像中的细胞检测是计算病理学中最重要的任务之一。OCELOT数据集为从H&E 染色的多个器官获取的图像提供了重叠的细胞和组织注释。OCELOT表明,了解周围组织结构和单个细胞之间的关系可以提高细胞检测性能。依据OCELOT 数据集,举办了 OCELOT 2023:细胞-组织相互作用的细胞检测挑战赛,以促进如何利用细胞-组织关系更好地进行细胞检测的研究。与典型的细胞检测挑战不同,参与者可以利用组织块和注释来提高细胞检测性能。
二、OCELOT2023任务
基于细胞-组织关系的细胞检测任务。
三、OCELOT2023数据集
OCELOT 数据集是一个组织病理学数据集,旨在促进利用细胞和组织关系的方法的开发。该数据集由从数字扫描的整个幻灯片图像 (WSI) 中提取的小视场 (FoV) 块和大视场 (FoV) 块组成, 重叠区域。小和大 FoV 斑块分别附有细胞和组织的注释。WSI 源自公开的 TCGA 数据库,并在使用 Aperio 扫描仪扫描之前使用 H&E 方法进行染色。OCELOT数据集的每个样本由六个部分组成,其中x_s,x_l是从WSI中提取的小和大FoV斑块,y_s^c,y_l^t分别指相应的细胞和组织注释,c_x,c_y是x_s中心在x_l内的相对坐标。

下图显示了示例的可视化。

数据集的每个样本都包含两个输入块和相应的注释。左侧显示了带有组织分割注释 y_l^t 的大 FoV 块 x_l,其中绿色表示癌症区域。右侧显示带有细胞点注释 y_s^c 的小视场块 x_s,其中蓝色和黄色点分别表示肿瘤和背景细胞。红色框表示 x_s 相对于 x_l 的大小和位置。请注意,对于每个样本,x_s 和 x_l 是重叠的,即 x_s 存在于 x_l 内部。然而,x_s 在 x_l 上的相对位置因样本而异。
细胞检测任务受益于细粒度的空间信息,可以更好地捕获详细的细胞属性(例如边界、形状、颜色和不透明度)。相比之下,组织分割需要更大的背景才能更好地理解整体结构信息。因此,将x_s(细胞检测)和x_l(组织分割)的FoV大小分别定义为1024×1024和4096×4096像素,分辨率为0.2微米每像素(MPP)。最后,将大 FoV 块和组织注释 (x_l, y_l^t) 下采样4倍,得到1024x1024像素的大小。
数据集按照 6:2:2 的比例分为三个子集:训练、验证和测试。准确地说,训练、验证和测试分割分别由 400、137 和 130 个块对组成。为了防止数据子集之间的信息泄漏,随机分割每个WSI的数据集,以便来自同一 WSI 的不同块不会包含在不同的分割中。在每个子集中保持一致的癌症类型比率。

标签信息——细胞:背景细胞(BC,索引 1)和肿瘤细胞(TC,索引 2),组织:背景(BG,索引 1)、癌症区域(CA,索引 2)和未知(未标记,索引 255)
评价指标:使用平均 F1 (mF1) 分数作为主要指标,它是所有细胞类别 F1 分数的平均值。
四、技术路线
任务一、组织分割
1、对组织病理图像缩放到1024x1024大小并进行0-1范围归一化处理。将数据划分成训练集和验证集。
2、搭建VNet2d网络,使用AdamW优化器,学习率是0.001,batchsize是12,epoch是500,损失函数采用多分类的dice和交叉熵。
4、训练结果


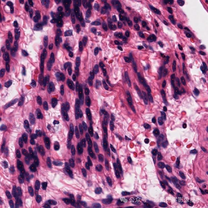
5、验证集部分分割结果
左图是原始图像,中间是金标准结果,右图是预测结果。



任务二、细胞检测
1、由于细胞的标注只有中心点坐标和标签值,所以设置边界框长宽为20个像素,再对组织病理图像缩放到1024x1024大小并进行0-1范围归一化处理。将数据划分成训练集和验证集。
2、搭建YoloV5检测网络,使用SGD优化器,学习率是0.001,batchsize是16,epoch是500,损失函数采用交叉熵和iou损失。
3、训练结果和验证结果






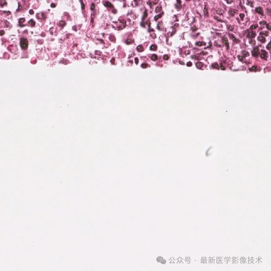
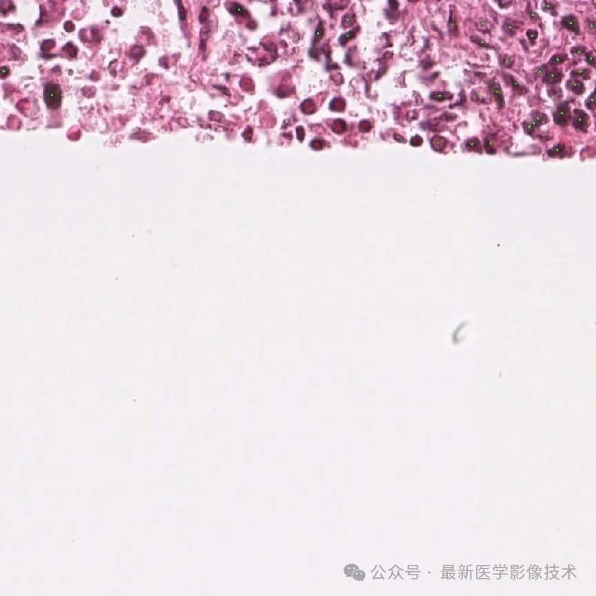
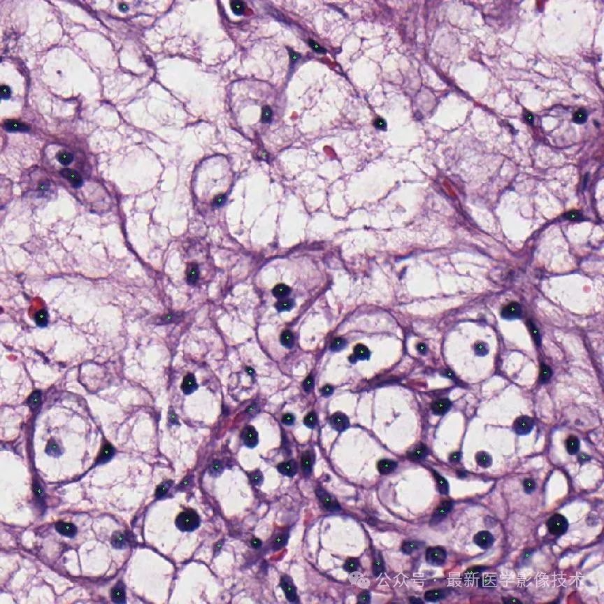
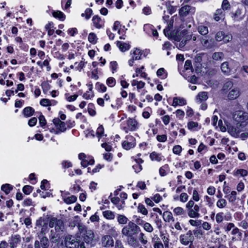
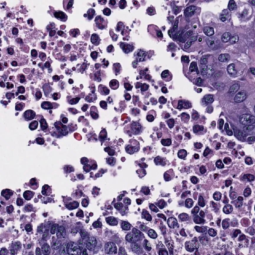
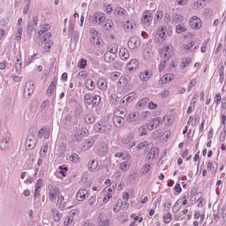
4、验证集部分检测结果
第一个是金标准结果,第二个是网络检测结果。










测试集结果
组织分割结果
左图是原始图像,中间是金标准结果,右图是预测结果。




细胞检测结果
第一个是金标准结果,第二个是网络检测结果。









