

上皮完整性由细胞骨架和细胞粘附维持。然而,目前尚不清楚细胞骨架失调与癌症的关系。作者发现肿瘤相关的肌动蛋白动力学调节因子(CRAD)在结直肠癌中经常突变或转录下调。CRAD通过帽蛋白抑制稳定钙粘蛋白-连环蛋白-肌动蛋白复合物。CRAD的缺失抑制F-actin聚合,随后破坏钙粘蛋白-连环蛋白-肌动蛋白复合物,导致β-catenin释放和Wnt信号过度激活。在小鼠中,CRAD敲除诱导上皮细胞完整性丧失和Wnt信号激活,导致肠粘液腺瘤的发展。在APC突变的情况下,CRAD基因敲除启动并加速结直肠粘液性和侵袭性腺瘤的发展。这些结果将CRAD定义为一种肿瘤抑制因子,其失活可放松细胞骨架并过度激活Wnt信号,从而引发粘液性结直肠癌。作者的研究揭示了肌动蛋白细胞骨架调节器在维持上皮细胞完整性和抑制肿瘤发生中的作用。
1.CRAD inactivation in CRC
生信+实验确定CRAD在癌症中的表达,生信分析CRAD在癌症中的突变。

2. Positive regulation of actin polymerization by CRAD 3. CRAD as an inhibitor of CPs
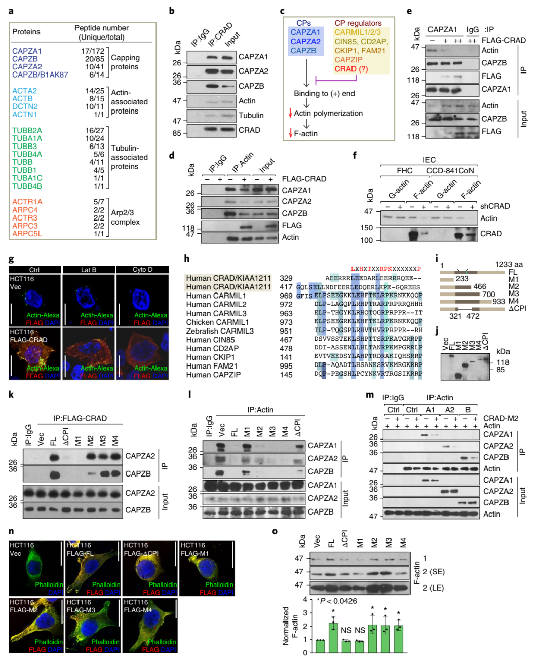
鉴于CRC中CRAD的突变或下调,作者假设CRAD是CRC中的肿瘤抑制因子。为了验证这一点,作者检测了CRAD失活是否涉及细胞转化相关的细胞形态变化。发现CRAD耗竭导致intestinal epithelial cells(IEC)收缩。相反,CRAD过表达增加了CRC细胞的细胞面积,增加了肌动蛋白细胞骨架。这些结果表明CRAD正调节肌动蛋白聚合。鉴于CRAD增强了肌动蛋白细胞骨架,我们试图剖析其详细的分子机制。通过使用串联亲和纯化和质谱,我们鉴定了CRAD相互作用蛋白:CP、肌动蛋白/微管蛋白相关蛋白和Arp2/3蛋白复合物)。封端蛋白CAPZA1、CAPZB和CAPZA2在肽数方面表现出高得分。来自细胞裂解物的共免疫沉淀(Co-IP)和纯化蛋白质的下拉测定验证了CRAD和CP之间的内源性和直接相互作用(图2b)。因此,作者假设CRAD通过抑制CP来增强F-actin聚合(图2c)。共免疫沉淀试验表明,过表达CRAD减少了CP和肌动蛋白之间的相互作用(图2d,e)。

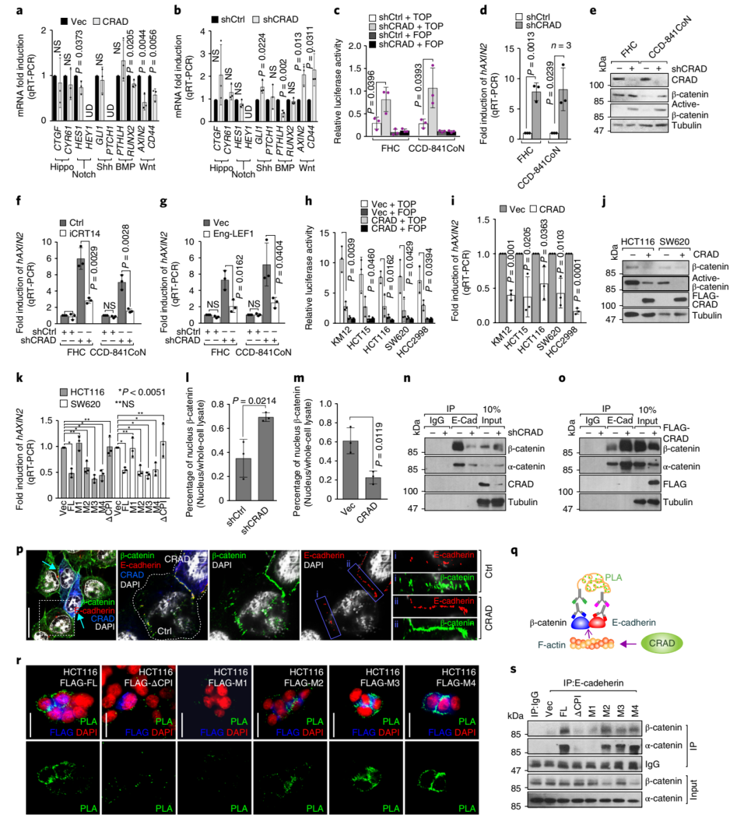
4.CRAD损失激活的Wnt信号通过破坏的CCA复合物
作者接下来试图确定CRAD调节的肌动蛋白细胞骨架与肠道肿瘤发生相关。由于CRC中各种发育途径的失调,作者研究了CRAD对Wnt、Hedgehog、BMP、Notch和Hippo信号传导的影响。有趣的是,CRAD过表达下调了Wnt/β-catenin靶基因(AXIN2和CD44)。

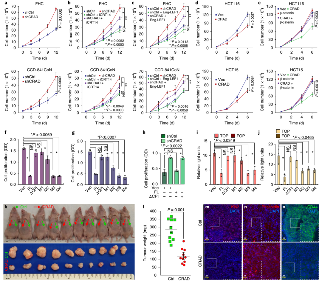
5.Inhibition of CRC cell proliferation by CRAD
细胞+动物实验

6.Intestinal adenoma development induced by CRAD KO 7.Intestinal adenoma development due to CRAD knockout 8.Accelerated intestinal tumorigenesis by CRAD KO 9.Mucinous intestinal tumorigenesis by CRAD KO
后面的实验都是动物水平上的验证,做的工作比较多。

文章中的生信:
都是基于在线数据库工具分析CRAD在癌症中的表达和突变,可参考文章:【0代码】单基因泛癌分析教程学习。

本文分享自 MedBioInfoCloud 微信公众号,前往查看
如有侵权,请联系 cloudcommunity@tencent.com 删除。
本文参与 腾讯云自媒体同步曝光计划 ,欢迎热爱写作的你一起参与!